打开网易新闻 查看精彩图片

正值柿子大量上市的季节

很多人的餐桌上

少不了柿子的身影

打开网易新闻 查看精彩图片
打开网易新闻 查看精彩图片
打开网易新闻 查看精彩图片

很多喜欢吃柿子的人

更是开启狂炫模式

但是过量食用柿子

很有可能对身体健康造成影响

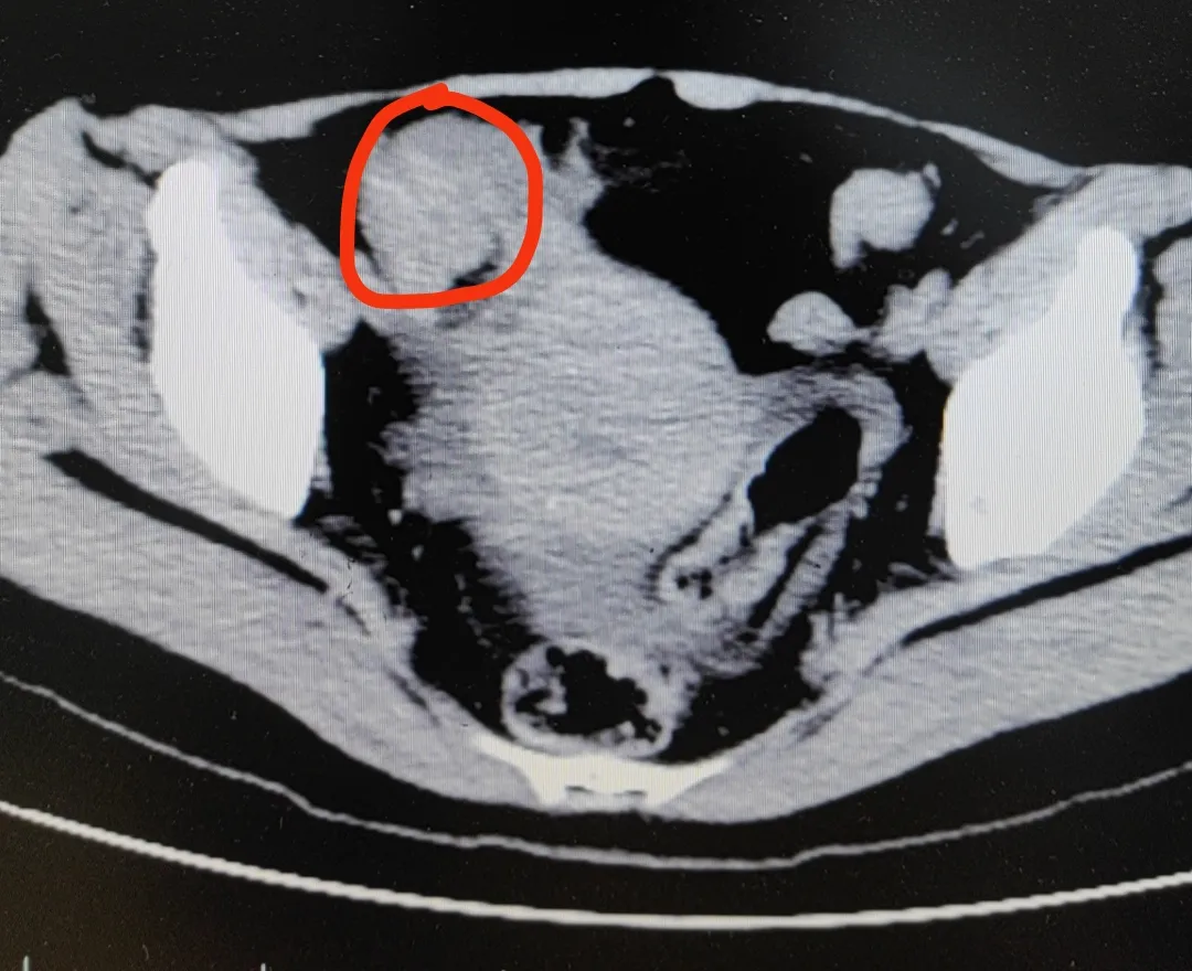
近日,患者冯女士(化名)在家一口气连吃3只柿子,晚餐又吃了2只大闸蟹。结果当天晚上,冯女士突然开始肚子痛,疼得全身冒冷汗,还不停呕吐。忍了两天后,冯女士终于忍无可忍,来到了医院。

医生高度怀疑,冯女士发生了绞窄性肠梗阻。最后手术从肠子里切出一堆“石头”,也就是俗称的“柿石症”,最大的直径有4公分!

打开网易新闻 查看精彩图片

原来,柿子中含有较多的鞣酸和果胶,与虾、蟹、鱼、牛奶等高蛋白食物同食,因蛋白与鞣酸相遇,容易发生反应产生沉淀物——鞣酸蛋白,当胃里的胃酸较多的情况下,鞣酸蛋白和食物中的果胶、纤维素等,把食物残渣粘合在一起,在胃内形成胃柿石,造成胃部不适。

食用柿子

要遵循以下原则

禁忌1:空腹吃柿子

风险:空腹时,胃里没有食物中和胃酸,胃酸浓度较高,而鞣酸在酸性环境下活性更强,会与胃内的胃蛋白酶等快速结合,形成不溶于水的“胃柿石”。

这些块状物轻则会引起胃胀、胃痛、恶心,重则可能堵塞胃幽门,导致胃出血、胃溃疡。特别是肠胃功能较弱的老人、小孩,以及有胃病的人群,空腹吃柿子的风险更高。

建议:饭后1小时吃,每次≤1个(约150g)。

禁忌2:与高蛋白或者寒性食物同吃

风险:柿子本身性寒,和寒性食物同食会寒上加寒,引起胃部不适。同时,柿子中含有大量的鞣酸,在与牛奶、鸡蛋、海鲜等高蛋白食物相遇时,会与之结合形成不易消化的复合物。

这种复合物不仅影响蛋白质的消化吸收,降低营养价值,还可能引起胃肠道的不良反应,如恶心、呕吐、腹胀及腹泻等。

建议:吃柿子前后2小时避开高蛋白食物。

禁忌3:连皮吃或者啃未熟的柿子

风险:柿子果皮中单宁含量是果肉的10倍。未成熟的青柿中,单宁含量超高。吃柿子皮或者吃未成熟的青柿,胃中生成“胃柿石”的风险大大增加,引发胃肠不适。

建议:一定要去皮吃全熟的软柿子,或者通过脱涩技术,比如软柿常用熏蒸、混果或乙烯利法,硬柿多采用温水、石灰水或二氧化碳法处理后再食用。

禁忌4:糖尿病人贪吃

风险:柿子的升糖指数GI=37不高,但是含糖量较高,每百克柿子中含有约18克的糖分,主要是双糖和单糖,这些糖分容易被人体快速吸收,使血糖水平迅速上升,影响血糖控制。

建议:建议每次食用量不超过100-200克,避免摄入过多糖分。同时,食用柿子应计入每日总碳水化合物的摄入量中,以确保血糖控制在目标范围内。

推荐在两餐之间或运动后食用,此时血糖水平相对较低,有助于减少血糖波动。避免在餐后立即食用,以免加重胰岛负担。

医生建议,若是吃了柿子山楂后感觉胃不舒服或是肚子痛,可以喝些苏打水或是吃些碳酸氢钠片。较小的胃结石,连续服用数天至数周后,胃结石会逐渐缩小直至消失,若是症状持续不缓解,建议及时就医。

此外,医生提醒:即便健康人群也不要贪多,每天1-2个足矣。

你喜欢吃柿子吗?

一天大概会吃多少个?

注意以上食用注意事项

不要超量了!

转给家人们,提醒~

来 源 :杭州日报、健康杭州

编辑:陈瑞

一审:叶璐; 二审:葛晶;三 审:李艳

杭州重磅官宣:钱江三桥将于11月22日0点开始正式断流,施工将持续至2027年底。轮渡将于11月18日起开始运营。开车过江怎样绕行?施工对沿江两岸出行有哪些影响?地铁过江有哪些优化调整?下载杭州党媒客户端,杭州文广集团官方APP“开吧”点击“新三桥·在路上”页面,一键获取!