对不少年轻人来说,脸上冒青春痘是再常见不过的事,顺手挤掉几乎是下意识的动作,然而近期,浙江宁波大学附属第一医院呼吸与危重症医学科接诊的一位患者给所有人敲响了警钟。

只是挤了颗痘痘

肺竟被“啃”出十多个空洞

20岁的小林前段时间为了准备考试,熬了几晚后脸上冒出一颗黄豆大小的痘痘。“又红又肿很难看,我就想着挤掉能快点好。”他回忆道,当时没洗手就对着镜子挤痘痘,脓水挤出来时,觉得终于清爽了。

可过了几天,痘痘依旧化脓了,更糟糕的是,小林开始发烧、咳嗽,即便吃了退烧药也只是暂时退下去,右下胸部传来的疼痛像有根针在扎,深呼吸、咳嗽时更是疼得他直冒冷汗。

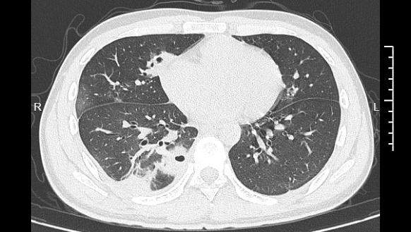
熬到第三天,小林已经烧到39℃,赶紧去医院就诊。接诊的主任医师丁群力一看他的症状,立刻安排了ct检查。结果显示:小林的肺里有十几个空洞,部分肺组织已经坏死,这是典型的血源性肺脓肿。

打开网易新闻 查看精彩图片

小林的ct影像显示肺里有多个空洞

打开网易新闻 查看精彩图片

进一步的细菌培养和基因检测揭开了真相,小林的血液里检出了金黄色葡萄球菌,这种细菌,就藏在每个人的皮肤表面。“‘罪魁祸首’就是那颗被挤掉的痘痘。”丁群力解释,“这颗痘痘长在脸部‘危险三角区’,挤痘痘时的压力把细菌推进了血管,引发了败血症,接着细菌顺着血流跑到肺部,侵蚀肺组织。”

万幸小林身体素质底子好,对药物也较为敏感,经过12天的抗生素治疗,最终顺利康复出院。

为什么一颗痘痘能“杀”到肺部?

脸部的“危险三角区”,是指从鼻根到两侧口角形成的三角形范围。“我们身体里的血管大多有静脉瓣,就像单向阀门一样,能防止血液逆流,避免细菌跟着血液乱跑。但‘危险三角区’的血管偏偏没有这个阀门,是完全直通式的。”医生介绍说。

挤压这个区域的痘痘时,会同时触发两个危险步骤:

痘痘本身是毛囊发炎的产物,已经存在局部感染,挤压会直接破坏皮肤屏障,让痘痘里含大量细菌的脓液,接触到皮下毛细血管。

挤压的压力容易把这些细菌强行推进血管里。没有静脉瓣的阻挡,细菌可以顺着血液自由扩散,往上进入颅内,引发脑膜炎、脑脓肿等更凶险的疾病,往下顺着全身血液循环,跑到肺部、肝脏等器官,引发严重感染。

像小林这样,当细菌跑到肺组织上后,就会开始疯狂破坏肺细胞,引发局部炎症。随着炎症加重,肺组织会逐渐坏死、液化,最终形成一个个空洞。

如果没有及时就医,风险还会持续升级,轻则导致肺脓腔破裂,引发脓胸、脓气胸,胸腔里积满脓液,重则细菌会再次扩散到肝脏、心脏等关键器官,甚至引发脓毒症休克,危及生命。即便最终治愈,严重的肺组织坏死也可能留下后遗症,比如肺功能下降,影响后续的正常呼吸。

痘痘不要挤

皮肤可自我修复

医生提醒广大市民,对于轻度痘痘,不用特殊干预,皮肤有自我修复能力。过度挤压或涂抹刺激性产品,会破坏皮肤屏障,增加感染风险。

尤其是“危险三角区”的痘痘更是不能挤挑,要避免细菌进入血液。

另外,不要频繁触摸痘痘,手上的细菌数量多,反复接触可能会让细菌反复污染创口。

一旦出现疼痛加剧或周围皮肤大面积红肿,伴随发热、乏力,出现胸痛、咳嗽、呼吸困难这些情况,一定要立刻就医,千万别拖延。

综合自:宁波晚报(记者:诗妤,通讯员:庞赟)

编辑:邱彩红

转载请注明来自上海徐汇官方账号

打开网易新闻 查看精彩图片

上观号作者:徐汇通