*仅供医学专业人士阅读参考

视神经炎反复、脊髓病变进展患者,怎样打破“高复发、高致残”困境?

引言:

视神经脊髓炎谱系疾病(NMOSD)是一类以视神经和脊髓受累为核心特征的中枢神经系统自身免疫性炎性疾病,发病机制主要与致病性水通道蛋白4(AQP4)抗体相关,疾病呈高复发、高致残特点,每一次复发都可能导致不可逆的神经损伤,严重影响患者生活质量。尽早启动序贯治疗,并坚持长程治疗,是改善NMOSD患者预后的关键[1]。

本期将由郑州大学第一附属医院神经内科主任医师张璐教授分享两例AQP4抗体阳性NMOSD患者的诊疗经历,两例患者均以视神经炎和脊髓病变为主要表现,均在激素治疗基础上,序贯使用伊奈利珠单抗进行长程管理,经随访观察,患者视力功能逐步恢复,脊髓病灶范围缩小,疾病复发风险得到有效控制,为AQP4抗体阳性NMOSD伴视神经炎患者的长程管理提供了实践参考。

专家简介

打开网易新闻 查看精彩图片

张璐 教授

  • 郑州大学第一附属医院神经内科 主任医师 教授 医学博士

  • 中国微循环学会神经变性病分会委员

  • 中国老年医学会神经医学分会委员

  • 河南省医学会神经病学分会青年委员

  • 河南省医师学会神经病学分会委员

  • 河南省卒中学会认知障碍分会副主任委员

  • 河南省微循环学会血栓栓塞病分会副主任委员

  • 河南省预防医学会认知与运动障碍预防与控制专业委员会常务委员

  • 河南省研究型医院学会神经病学专业委员会常务委员

  • 河南省免疫学会神经免疫专业委员会委员

  • 美国国立卫生研究院(NIH)访问学者

  • 主持国家自然科学基金面上项目

  • 国家自然科学基金项目评审专家

  • 主持获河南省教育厅科技成果一等奖2项

病例1

基本信息:患者男,55岁。因“头晕2月,视物重影1月”于2024年10月8日入院。患者既往史、家族史、个人史无特殊。

现病史:

  • 2024年8月无明显诱因出现头晕,伴视物旋转、恶心呕吐,呕吐物胃内容物,体位改变时加重,无肢体无力麻木,无意识丧失,无大小便失禁,至当地医院就诊,诊断“耳石症”,药物治疗(具体不详)后头晕未见好转;

  • 2024年9月出现双眼视物重影、模糊,伴走路不稳,头晕加重,无肢体无力麻木,当地医院头部MRI提示脑梗死,予相关治疗(具体不详)后效果欠佳;

  • 2024年10出现双上肢烧灼感,患者为求进一步诊治入院。发病以来,精神、食欲、睡眠、大小便正常,无明显体重减轻。

入院神经系统查体

表1 患者第一次入院神经系统专科查体结果

打开网易新闻 查看精彩图片

辅助检查:

  • 实验室检查

表2 患者第一次入院实验室检查结果

打开网易新闻 查看精彩图片

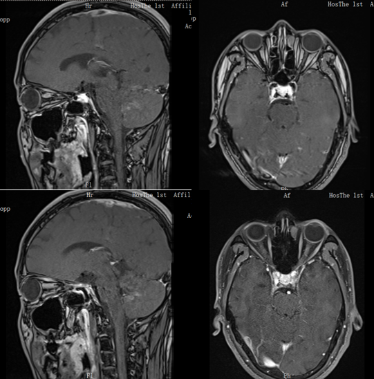
  • 影像学检查:头颅+全脊髓+视神经MRI:四脑室周围双侧小脑半球、延髓、右侧侧脑室旁及颈5-7水平脊髓内异常信号;左侧视神经眶内段、管内段及双侧视神经颅内段异常信号,结合病史,考虑为NMOSD。

打开网易新闻 查看精彩图片

图1 患者头颅MRI平扫+增强

打开网易新闻 查看精彩图片

图2 全脊髓MRI平扫+增强

打开网易新闻 查看精彩图片

图3 视神经MRI平扫+增强

左右滑动查看

诊断:结合患者临床症状、AQP4抗体结果、MRI影像学结果,诊断为NMOSD。

治疗及随访:

2024年10月13日起予甲泼尼龙冲击治疗(0.50g/日×3天,0.25g/日×3天,0.125g/日×3天),2024年10月23日予以泼尼松60mg/日口服,每2周递减1片;同时分别于2024年10月23日、11月6日接受伊奈利珠单抗300mg第一次、第二次序贯治疗,头晕、双眼及肢体麻木较前好转

2024年12月16日第一次随访时诉2周前出现双侧肢体电击样疼痛(右侧为著,呈阵发性),但影像学未提示复发,给予奥卡西平对症治疗,丙种球蛋白静脉输注以及激素逐渐减量治疗。2025年5月10日第二次随访时,患者双眼视力、头晕、走路不稳症状明显改善,双眼视力均恢复至1.0,间断肢体麻木,EDSS降至1分,于2025年6月17日继续予以伊奈利珠单抗序贯治疗。

表3 患者接受伊奈利珠单抗治疗前后神经系统查体结果对比

打开网易新闻 查看精彩图片

表4 患者接受伊奈利珠单抗治疗前后影像学及实验室检查结果对比

打开网易新闻 查看精彩图片

病例小结:

该病例中的患者以视神经炎、小脑共济失调为首要表现,视力损伤显著。研究显示,高滴度的AQP4抗体与包括视力障碍、视神经炎在内的NMOSD复发率增加有关[2-3]。在治疗方面,该患者经激素冲击及伊奈利珠单抗序贯治疗后视力均得到有效恢复和维持,双眼视力均恢复至1.0,其机制可能与伊奈利珠单抗能够导致B细胞及表达CD19的浆母细胞和部分浆细胞耗竭,从而抑制AQP4抗体有关[1]。

除视力改善外,伊奈利珠单抗对该患者的脊髓病变、小脑脑干病变也表现出明确疗效。经伊奈利珠单抗治疗后,患者EDSS评分由10分降至1分,脊髓、小脑脑干病灶范围及强化程度明显改善,且B淋巴细胞降至0。在NMOSD的病理过程中,AQP4抗体攻击中枢神经系统内的星形胶质细胞,可造成严重的轴索损害和脱髓鞘反应。在此过程中,血清神经丝蛋白轻链(NFL)和胶质纤维酸性蛋白(GFAP)浓度会上升,可分别作为轴索和星形胶质细胞损伤的生物标志物,有利于观察疾病的进展及不可逆性损伤。其中,NFL相对于其他生物标志物而言,对脊髓炎更敏感。而伊奈利珠单抗通过耗竭B细胞,可降低AQP4抗体阳性NMOSD患者NFL和GFAP水平,提示其与控制疾病复发和降低残疾程度有关[4]。

病例2

基本信息:患者女,18岁。因“左眼睁眼无力伴左侧偏身麻木疼痛半月”入院。

现病史:

  • 第一次发作:2023年3月15日自觉左眼视物模糊,伴眼痛、结膜充血,当地诊断“左眼视神经炎”,未经治疗;3月20日左眼视力下降逐渐加重,就诊我院眼科,头颅MRI未见异常,双眼视觉诱发电位(VEP)示左眼P100传导延迟,AQP4抗体阳性(1:32),左右眼视力分别为0.02、0.04,诊断“左眼球后视神经炎”;2023年3月22日予以地塞米松治疗(10mg×7d),2023年3月28日,左右眼视力分别恢复至0.9、1.0,予以甲泼尼龙32mg/日,每5天递减1片。

  • 第二次发作:2024年1月8日无明显诱因出现左眼睁眼无力伴左侧偏身麻木疼痛,当地医院颈椎MRI提示颈5-7椎体水平脊髓脱髓鞘病变,AQP4抗体阳性(1:100),激素冲击治疗效果差;2024年1月22日因左偏身麻木疼痛无缓解转诊我院神经内科。

治疗及随访:患者于2024年2月2日开始接受伊奈利珠单抗长期规律序贯治疗。规律随访发现患者5-7椎体水平脊髓脱髓鞘病变范围较前减小、强化减轻,双侧VEP波幅正常

表5 患者接受伊奈利珠单抗治疗前后检查结果对比

打开网易新闻 查看精彩图片

病例小结:

NMOSD具有显著的高复发性:1年复发率可达60%,3年复发率约90%,每一次复发都会导致残疾累积[1]。因此,国内外指南均指出:AQP4抗体阳性NMOSD患者应坚持长程治疗[1,5]。N-MOmentum研究在开放标签扩展试验(OLE)阶段的结果显示,接受伊奈利珠单抗治疗1年,85%的患者无发作,治疗四年,77%的患者无发作;且AQP4抗体阳性NMOSD患者4年年复发率(ARR)仅0.097(95%CI:0.070~0.14),长期治疗持续获益[6]。

病例2的诊疗经过正体现了长期规律足疗程用药对NMOSD患者的关键意义。该患者在首次视神经炎发作后仅接受短期激素治疗,未及时启用序贯治疗,结果在10个月后复发并出现脊髓受累;而在启动伊奈利珠单抗规律治疗(初始剂量第1天静脉输注300mg,第15天再次静脉输注300mg;后续剂量自首次用药开始,每6个月静脉输注300mg)后,病情得到有效控制,脊髓病灶缩小,未出现严重复发。这提示,伊奈利珠单抗在NMOSD长程管理中具有积极的临床价值,能够有效控制疾病复发、改善神经功能。需要强调的是,维持长期疗效依赖于规范的用药方案和良好的患者依从性,这是预防复发、保护神经功能的核心前提,在临床实践中应予以充分重视和管理。

专家述评

本文总结了2例AQP4抗体阳性NMOSD患者的诊疗过程,旨在探讨伊奈利珠单抗在NMOSD长期管理中的疗效与意义。从临床表现来看,视神经和脊髓是NMOSD最常累及的部位,也是影响患者生活质量的关键。本文两例患者在接受伊奈利珠单抗治疗后,不仅视力得以恢复或维持,脊髓病灶范围也明显缩小,强化程度减轻,说明伊奈利珠单抗能有效控制NMOSD核心病理进程。病例2的复发经历提示,仅依靠急性期激素治疗不足以抑制免疫激活,需通过长程规律维持序贯治疗,才能有效预防复发。

多项国内外指南已明确伊奈利珠单抗在NMOSD序贯治疗中的地位。《中国视神经脊髓炎谱系疾病诊断与治疗指南(2025版)》推荐,伊奈利珠单抗可显著降低AQP4抗体阳性NMOSD患者的疾病复发和减缓残疾进展(Ⅰ级推荐,A级证据)[1]。AQP4抗体阳性NMOSD管理国际德尔菲共识(2023)则声明:对于AQP4抗体阳性的NMOSD成人患者,伊奈利珠单抗推荐用于诊断后、首次发作或现有治疗失败而复发后的患者,推荐度均为100%[7]。

在临床实践中,建议AQP4抗体阳性NMOSD患者尽早启动伊奈利珠单抗这类生物制剂进行序贯治疗,并建立系统化的长程管理策略:定期监测血常规、免疫球蛋白及CD19/20+B细胞水平,结合EDSS评分、影像学及生物标志物等评估疗效与安全性[1,4]。同时,应加强患者教育,避免因不规范用药导致病情反复[1],从而实现神经功能的长期稳定与生活质量的全面改善。

参考文献:

[1]中华医学会神经病学分会神经免疫学组. 中国视神经脊髓炎谱系疾病诊断与治疗指南(2025版)[J]. 中华神经科杂志,2025,58(7):687-703.

[2]Filippatou AG, Mukharesh L, Saidha S, et al. AQP4-IgG and MOG-IgG Related Optic Neuritis-Prevalence, Optical Coherence Tomography Findings, and Visual Outcomes: A Systematic Review and Meta-Analysis. Front Neurol. 2020 Oct 8;11:540156.

[3]Bennett JL, Pittock SJ, Paul F, et al. B cell and aquaporin-4 antibody relationships with neuromyelitis optica spectrum disorder activity. Ann Clin Transl Neurol. 2024 Oct;11(10):2792-2798.

[4]Aktas O, Hartung HP, Smith MA, et al. Serum neurofilament light chain levels at attack predict post-attack disability worsening and are mitigated by inebilizumab: analysis of four potential biomarkers in neuromyelitis optica spectrum disorder. J Neurol Neurosurg Psychiatry. 2023 Sep;94(9):757-768.

[5]Kümpfel T, Giglhuber K, Aktas O, et al. Update on the diagnosis and treatment of neuromyelitis optica spectrum disorders (NMOSD) - revised recommendations of the Neuromyelitis Optica Study Group (NEMOS). Part II: Attack therapy and long-term management. J Neurol. 2024 Jan;271(1):141-176.

[6]Cree B A C, Kim H J, Weinshenker B G, et al. Safety and efficacy of inebilizumab for the treatment of neuromyelitis optica spectrum disorder: end-of-study results from the open-label period of the N-MOmentum trial[J]. The Lancet Neurology, 2024, 23(6): 588-602.

[7]Paul F, Marignier R, Palace J, et al. International Delphi Consensus on the Management of AQP4-IgG+NMOSD:Recommendations for Eculizumab, Inebilizumab, and Satralizumab[J]. Neurol Neuroimmunol Neuroinflamm, 2023,10(4):e20012.

*此文仅用于向医学人士提供科学信息,不代表本平台观点