磁共振是现在临床非常常用的一种检查方式,相信很多人来到医院就诊过程总需要通过磁共振检查来找到问题所在,这其中就包括了头颅磁共振,四肢关节磁共振等,然而直肠磁共振却很少有人知道。直肠核磁共振正在成为直肠疾病诊断的一种“黄金标准”。它就像拥有“透视眼”的侦探,能精准捕捉肿瘤、炎症的蛛丝马迹,帮助医生制定最佳治疗方案。今天,我们就来揭开面纱,深入了解下直肠磁共振检查的工作原理,优势,针对人群和禁忌人群以及检查要做哪些准备。

一.直肠核磁共振的工作原理

我们一直说女人是水做的,然而实际上每个人的身体都可以说是水做的,我们身体里有很多水分子,这些水分子像无数个小磁铁,平时它们自由散漫地在身体里四处晃悠。当它们进入到磁共振这个机器之后,就发生了一系列神奇的事。首先,磁共振机器会产生一个比地球磁场强几万倍的超级磁场,在这个强磁场的指挥下,身体里的水分子小磁铁会瞬间沿着磁场方向整齐排列,接着机器开始发射特定频率的无线电波,水分子开始吸收这个能量,等电波关闭时,它们会释放出刚刚吸收的能量,让自己回归到原来状态。这时候机器的接收器开始采集释放出的能量,根据音调高低,释放能量的时间长短,能量的高低来精准构建人体内部的3D图像。

二.直肠磁共振的优势

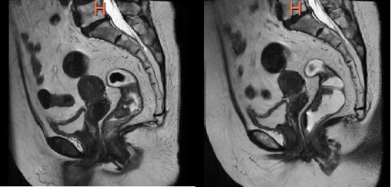
那大家肯定想说现代医学这么发达,超声、CT、肠镜各种检查方式都能应用于直肠,为什么医生会建议让我做直肠磁共振。那CT的优势是检查速度比较快,更适合于急诊的时候,并且它有辐射,展现出来的清晰度也比较低。肠镜通过内镜进入身体里,确实可以将内部的肿块等看得很清楚,零距离观察黏膜,对于疑似病变区域还可以直接取组织进行活检,但是它是有创检查且主要观察肠腔内侧,无法评估肠壁外的侵犯程度。直肠磁共振是目前唯一可以一次性评估所有关键因素的检查。首先直肠磁共振是无创的,这让受检者不承受太多痛苦;再来它可以清晰区分直肠壁各层结构(黏膜、肌层等),很好的显示肿瘤的深度和淋巴结的转移情况,它对于直肠癌的患者来说具有重要意义,同一个患者可以根据需要反复检查因为没有辐射,对身体不造成损伤;其次是因为它能对直肠癌进行术前精准分期,帮助临床在制定手术方案的时候提供有力依据,判断是否保住肛门,这对直肠癌患者之后的生活质量有着很大意义。除此之外,它还具有三维立体成像功能,可以多角度观察直肠壁,发现微小病灶,对于克罗恩病能够准确找到肠壁增厚部位,瘘管等。当然它也有自己的缺点,在于费用比较高昂,检查时间比较久,整个检查可能需要30分钟~45分钟不等。我们可以通过图片清晰感受下对于肿块显示的清晰度。

打开网易新闻 查看精彩图片

三.针对人群及禁忌人群

直肠磁共振主要针对以下几类人群:

1. 疑似或确诊直肠癌的患者:确诊的患者通过直肠磁共振来精准评估手术指标。通过1)肿瘤下缘距离肛门的距离决定是否保肛。2)可以知道环周切缘是多少,来看肿瘤距离手术切除边缘有多近。3)可以明确有没有盆腔淋巴结转移,来决定手术过程中是不是需要扩大清扫范围。对于手术后的患者来说,可以通过直肠磁共振复查监测有没有复发。

2. 诊断炎症性肠病,比如克罗恩病等,可以很好地判断炎症的活动度、是否有并发症(瘘管,脓肿),相较于肠镜更全面。且可以多次检查,动态监测治疗的效果。

3. 对高风险人群的筛查:一些有直肠癌家族史,长期吸烟或者高脂饮食的患者可以通过直肠磁共振来进行筛查,做到预防性保护。

4. 一些反复便血、排便困难但不知原因的患者,直肠磁共振可以作为一种摸索病因的检查手段。

直肠磁共振禁忌人群:1.体内有金属植入物,尤其是肠腔装过支架,妇女植入过节育环等,都会对图像造成很大的伪影,造成图像质量无法保证,无法诊断。

有心脏起搏器的患者,需要提前询问医生,有一部分起搏器可以进行检查,只是需要调成兼容模式,还有一部分起搏器是不可以进行核磁共振检查的。

四.检查过程中需要做些什么准备工作

1. 检查前的注意事项

1)直肠核磁共振一般是增强检查,使用造影剂可以使得病变显示得更加完善,有利于诊断。因此需要空腹4~6小时。这是因为空腹状态下,肠道相对静止,扫描时图像更稳定,尤其是观察直肠壁层次结构可以更精准。同时降低了注射对比剂万一呕吐时,减少胃内容物反流误吸的风险,提高受检者的安全性。

2)气体和粪便可能会掩盖微小病变,为了使得检查效果更好,我们会配合使用一部分药物例如甘露醇、柏西等。甘露醇为了排除粪便等,柏西主要用来消泡排气,减少气体干扰,避免图像出现伪影,伪影对评估直肠壁层级结构影响非常大。一般我们是在检查前,提前四小时使用消泡剂,提前两小时使用泻药。我们可以通过图片直观感受一下。

打开网易新闻 查看精彩图片

3)去除金属物品:包括女士的带钢圈的内衣,首饰;男士的皮带,手表,保健内裤等。冬季还要注意是否有贴暖宝宝之类的发热物品,这类物品中也含有碳粉等,检查时容易造成受检者和机器的损伤;年老者关节处如果有膏药,也需要摘除。

2. 检查过程中的注意事项

1)检查过程需要患者保持不动,以免扫描过程中出现运动伪影,影响最后诊断结果。由于检查时间相对较久,因此需要提前告知受检者,尽力配合检查。

2)磁共振检查时,机器会发出“咚咚”声,可以给受检者提供耳塞或者耳机,降低部分分贝,提高检查舒适性。

3)检查过程中,会进行造影剂的注射,提前告知受检者,不必感到害怕慌张,有一些液体注入的感觉是正常的。由于磁共振使用的是钆剂,不良反应相对较少,所以不必太过于担心。

3. 检查之后的注意事项

1)首先是检查完成之后需要观察十分钟,确保没有对比剂的不良反应,就可以拔针离开。

2)当天可以多喝水,加速对比剂的代谢,但也不用因此而强迫自己喝很多,以自己不难受为主。

做直肠磁共振检查,就像给肠道做一次“无创透视”。如果你或者你的家人需要进行这项检查,别紧张。它安全无痛,只需要配合躺平;检查前根据医生的建议做好肠道准备,结果会更准确;医生会根据图像给出最合适的治疗建议。医学的进步,正让疾病的诊断变得越来越清晰。直肠磁共振就像一位“肠道侦探”,用磁场的力量守护我们的健康。但是也不希望大家因为磁共振没有辐射而盲目要求进行核磁检查,请相信医生的专业判断,能选出对你最有必要的检查方式。

作者:朱宏 范婧 孔德艳 上海交通大学医学院附属瑞金医院