组织学21-舌

  • 舌由表面的黏膜和深部的肌层组成;

  • 肌层由纵行、横行及垂直三种不同行走方向的骨骼肌交织构成;

  • 黏膜由复层扁平上皮与固有层组成;

  • 舌腹面黏膜薄,表面光滑,其复层扁平上皮未角化;

  • 舌根部黏膜内有许多淋巴小结,构成舌扁桃体;

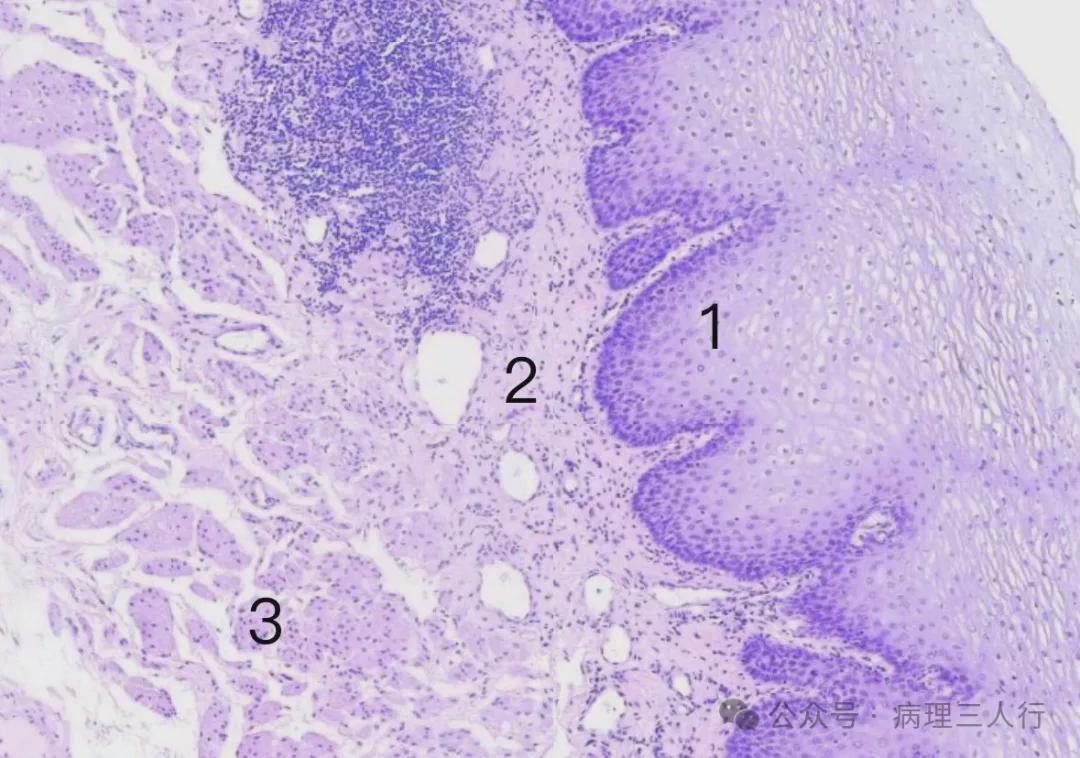
  • 舌背部黏膜形成许多乳头状隆起,称舌乳头;

  • 根据形态和结构的不同,人舌乳头可分为丝状乳头、菌状乳头和轮廓乳头三种。

打开网易新闻 查看精彩图片

1.丝状乳头 2.菌状乳头

图源:《组织学与胚胎学》第9版

1. 丝状乳头

  • 数量最多,遍布于舌背;

  • 乳头呈圆锥形,中央为富含血管和神经的固有层结缔组织,表面覆有复层扁平上皮,乳头尖端上皮角化;

  • 脱落的角化细胞与唾液和食物残渣等混合,黏附于舌的表面,形成薄的舌苔。

2. 菌状乳头

  • 数量较少,主要分布于舌尖与舌缘,散在于丝状乳头之间;

  • 乳头呈蘑菇状,上皮不角化,内有味蕾;

  • 固有层富含毛细血管,故肉眼观呈红色小点状。

3. 轮廓乳头

  • 有10余个,位于舌后部界沟前方;

  • 形体较大,陷于黏膜中,故顶部平坦;

  • 乳头周围的黏膜凹陷形成环沟,乳头表面未角化的复层扁平上皮,沟两侧的上皮内有较多味蕾;

  • 固有层中有浆液性的味腺,导管开口于沟底;

  • 味腺分泌的稀薄液体不断冲洗味蕾表面的食物碎渣,以利味蕾不断接受新的物质刺激。

打开网易新闻 查看精彩图片

1.轮廓乳头 2.菌状乳头 3.浆液性腺 4.骨骼肌

←味蕾

图源:《组织学与胚胎学》第9版

4.味蕾

  • 为卵圆形小体;

  • 成人约有3000个;

  • 主要分布于菌状乳头和轮廓乳头;

  • 少数散在于软腭、会厌及咽等部上皮内;

  • 味蕾染色较上皮淡,其基部位于上皮的基膜上,顶端窄小,有一小孔开口于上皮表面,称味孔;

  • 组成味蕾的细胞有三种:味细胞、支持细胞和基细胞;

  • 支持细胞呈梭形,细胞数量较多,位于味细胞之间;

  • 味细胞也呈梭形,多位于味蕾中央,细胞顶部微绒毛(也称味毛)突入味孔,细胞基部与味觉神经末梢以突触相连;

  • 基细胞呈矮锥体形,是味细胞的前体干细胞,位于味蕾基部;

  • 味蕾可感受四种基本味觉:甜、苦、酸、咸,甜咸感在舌尖,酸苦感在舌的两侧及舌根。

打开网易新闻 查看精彩图片

1.味细胞 2.基细胞 ↓ 味孔

图源:《组织学与胚胎学》第9版

组织学22-牙

  • 牙露在外面的为牙冠

  • 埋在牙槽骨内的为牙根

  • 两者交界部为牙颈

  • 牙中央有牙髓腔,开口于牙根底部的牙根孔;

  • 牙由牙本质、釉质、牙骨质三种钙化的硬组织和牙髓软组织构成;

  • 牙根周围的牙周膜、牙槽骨骨膜及牙龈则统称牙周组织。

1.牙本质

  • 牙的主体结构,包绕着牙髓腔;

  • 牙本质主要由牙本质小管与间质构成;

  • 牙本质小管从牙髓腔面向周围呈放射状走行,越向周边越细,且有分支吻合;

  • 牙本质的内表面有一层成牙本质细胞,其突起伸入牙本质小管,称牙本质纤维;

  • 牙本质小管之间为间质,由胶原纤维与钙化的基质构成,其化学成分与骨质相似,但无机成分约占80%,较骨质坚硬,有机成分由成牙本质细胞产生。

2. 釉质

  • 位于牙冠表面,其中无机物约占96%,有机物很少,故为人体最坚硬的结构;

  • 釉质由釉柱和极少量的间质构成;

  • 釉柱呈棱柱状,主要成分为羟基磷灰石结晶;

  • 釉柱从与牙本质交界处向牙冠表面成放射状排列;

  • 在牙磨片中,釉柱呈细纹状,另可见釉质内有一种以牙尖为中心的弧形线,称芮氏线,它是釉质的生长线,因釉质在形成过程中呈间歇性生长所致,在间歇期,釉质生长慢,而有机质含量多,故显微镜下呈现该处折光性较差。

3.牙骨质

  • 包在牙根部的牙本质外面,其组成及结构与骨组织相似;

  • 近牙颈部的牙骨质较薄,无骨细胞。

4. 牙髓

  • 为疏松结缔组织,内含自牙根孔进入的血管、淋巴管和神经纤维,对牙本质和釉质具有营养作用;

  • 牙髓与牙本质间有一层排列整齐的成牙本质细胞;

  • 感觉神经末梢包绕成牙本质细胞,并有极少量进入牙本质小管;

  • 牙髓神经从牙根孔进入牙髓腔,在成牙质细胞层下形成神经丛,一部分神经末梢终止在牙本质内表面及成牙质细胞上,另一部分进入牙本质中;

  • 牙髓神经接受感觉有两个特点:

①不能区别刺激的性质,对任何刺激均以痛觉反应出现;

②缺乏定位感觉,不易确定刺激发生的部位。

5. 牙周膜

  • 位于牙根与牙槽骨间的致密结缔组织;

  • 内含较粗的胶原纤维束,其一端埋入牙骨质,另一端伸入牙槽骨,将两者牢固连接。

6. 牙龈

  • 由复层扁平上皮及固有层组成的黏膜;

  • 牙龈包绕着牙颈;

  • 老年人的牙龈常萎缩,牙颈外露。

打开网易新闻 查看精彩图片

牙结构模式图

图源:《组织学与胚胎学》第9版

组织学23-食管

食管腔面有由黏膜和黏膜下层形成的纵行皱嬖,食物通过时管腔扩大,皱襞消失。

1. 黏膜

  • 上皮为未角化的复层扁平上皮,在食物通过时起机械性保护作用;

  • 食管下端的复层扁平上皮与胃贲门部的单层柱状上皮骤然相接,是食管癌的易发部位;

  • 固有层为细密的结缔组织,并形成乳头突向上皮;

  • 在食管上段与下段的固有层内可见少量黏液性腺;

  • 黏膜肌层由纵行平滑肌束组成。

打开网易新闻 查看精彩图片

1.上皮 2.固有层 3.黏膜肌层

打开网易新闻 查看精彩图片

1.

食管上皮 2.胃小凹

2. 黏膜下层

  • 疏松结缔组织;

  • 内含黏液性的食管腺,其导管穿过黏膜开口于食管腔,分泌的黏液涂布于食管表面,利于食物通过;

  • 食管腺周围常有较密集的淋巴细胞及浆细胞,甚至淋巴小结。

3. 肌层

  • 分内环行与外纵行两层;

  • 上1/3段为骨骼肌,下1/3段为平滑肌,中1/3段则兼具两者;

  • 食管两端的内环行肌稍厚,分别形成食管上、下括约肌。

打开网易新闻 查看精彩图片

1.上皮 2.固有层 3.黏膜肌层 4.食管腺导管 5.黏膜下层 6.食管腺腺泡 7.肌层

4. 外膜

为纤维膜。

组织学24-胃

  • 食物入胃后,与胃液混合为食糜;

  • 胃可贮存食物,初步消化蛋白质,吸收部分水、无机盐和醇类;

  • 胃的腔面有许多不规则的皱襞,当胃充盈时,皱襞消失。

一、黏膜

  • 黏膜表面有许多浅沟,将黏膜分成许多直径2~6mm 的胃小区;

  • 黏膜表面还遍布约350万个不规则形的小凹陷,称胃小凹;

  • 每个胃小凹底部与3~5条腺体通连。

打开网易新闻 查看精彩图片

胃底与胃体部立体模式图

打开网易新闻 查看精彩图片

胃上皮和胃底腺立体模式图

1. 上皮

  • 单层柱状,主要由表面黏液细胞组成;

  • 核椭圆形,位于基部;

  • 顶部胞质充满黏原颗粒,HE 染色着色浅淡以至透明;

  • 上皮细胞分泌物中富含中性糖蛋白,分泌至细胞表面形成一层保护性的黏液膜,可防止高浓度盐酸与胃蛋白酶对黏膜的消化以及食物对上皮的磨损;

  • 相邻柱状细胞在近游离面处形成紧密连接,起屏障作用,防止胃腔内的化学物质进入胃壁,黏液膜和紧密连接共同组成屏障,起保护作用;

  • 胃上皮每2~6天更新一次,脱落的细胞由胃小凹底部和胃腺颈部的未分化细胞增殖补充。

2. 固有层

  • 内有排列紧密的大量管状腺,根据所在部位和结构的不同,分为胃底腺、贲门腺和幽门腺;

  • 腺之间及胃小凹之间有少量结缔组织,其细胞成分中除成纤维细胞外,还有较多淋巴细胞及一些浆细胞、肥大细胞、嗜酸性粒细胞,以及散在的平滑肌细胞。

(1)胃底腺:

  • 又称泌酸腺,分布于胃底和胃体部;

  • 约有1500万条,是胃黏膜中数量最多、功能最重要的腺体;

  • 胃底腺呈分支管状,由主细胞、壁细胞、颈黏液细胞、干细胞和内分泌细胞组成;

  • 越接近贲门部的胃底腺中主细胞越多,而越毗邻幽门部的腺中壁细胞越多。

打开网易新闻 查看精彩图片

1.胃底腺 ←胃小凹

打开网易新闻 查看精彩图片

胃底腺

主细胞:

  • 又称胃酶细胞,数量最多,主要分布于腺的下半部;

  • 细胞呈柱状,核圆形,位于基部;

  • 胞质基部呈强嗜碱性,核上方充满酶原颗粒,但在普通固定染色的标本上,颗粒多溶解消失,使该部位呈色浅淡;

  • 主细胞分泌胃蛋白酶原。

壁细胞:

  • 又称泌酸细胞,在腺的上半部较多;

  • 此细胞体积大,多呈圆锥形;

  • 核圆,位于细胞中央,可有双核;

  • 胞质呈强嗜酸性。

颈黏液细胞:

  • 较少,位于胃底腺顶部,常呈楔形夹在其他细胞之间;

  • 核扁平,居细胞基底,核上方有很多黏原颗粒,HE 染色浅淡;

  • 其分泌物为可溶性的酸性黏液,对黏膜有保护作用。

干细胞:

  • 存在于从胃底腺顶部至胃小凹深部一带,胞体较小,呈低柱状;

  • 干细胞可不断分裂增殖,向上迁移可分化为表面黏液细胞,向下迁移可分化为其他胃底腺细胞。

打开网易新闻 查看精彩图片

1.主细胞 2.壁细胞 3.颈黏液细胞

(2)贲门腺:

分布于近贲门处宽1~3cm 的区域,为单管或分支管状腺,分泌黏液和溶菌酶。
(3)幽门腺:

  • 分布于幽门部宽4~5cm的区域,此区胃小凹很深;

  • 幽门腺为分支较多而弯曲的管状黏液性腺,可有少量壁细胞;

  • 幽门腺中还有很多G细胞,产生胃泌素,可刺激壁细胞分泌盐酸,还能促进胃肠黏膜细胞增殖。

打开网易新闻 查看精彩图片

幽门腺

3. 黏膜肌层

由内环行与外纵行两薄层平滑肌组成。

(二)黏膜下层
为较致密的结缔组织,内含粗的血管、淋巴管和神经,还可见成群的脂肪细胞。

(三)肌层和外膜

  • 肌层较厚,一般由内斜行、中环行和外纵行三层平滑肌构成;

  • 环行肌在贲门和幽门部增厚,分别形成贲门括约肌和幽门括约肌;

  • 外膜为浆膜。

组织学25-大肠

大肠分为盲肠、阑尾、结肠、直肠和肛管,主要功能是吸收水分和电解质,将食物残渣形成粪便。

一、盲肠、结肠与直肠

这三部分大肠的组织学结构基本相同。

1. 黏膜

  • 表面光滑,无绒毛;

  • 在结肠袋之间的横沟处有半月形皱襞,在直肠下段有三个横行的皱襞(直肠横襞);

  • 上皮为单层柱状,由吸收细胞和大量杯状细胞组成;

  • 大肠的吸收细胞主要吸收水分和电解质,以及大肠内细菌产生的B族维生素和维生素K;

  • 固有层内有稠密的大肠腺,呈直管状,含吸收细胞、大量杯状细胞、少量干细胞和内分泌细胞,无帕内特细胞;

  • 分泌黏液是大肠腺的重要功能;

  • 固有层内可见孤立淋巴小结;

  • 黏膜肌层由内环⾏和外纵⾏两薄层平滑肌组成 。

打开网易新闻 查看精彩图片

1.大肠腺 2.黏膜肌 3.黏膜下层

2. 黏膜下层

在结缔组织内有小动脉、小静脉和淋巴管,可有成群脂肪细胞。

3. 肌层

  • 由内环行和外纵行两层平滑肌组成;

  • 内环行肌节段性局部增厚,形成结肠袋;

  • 外纵行肌局部增厚形成三条结肠带,带间的纵行肌菲薄,甚至缺如。

4. 外膜

  • 在盲肠、横结肠、乙状结肠为浆膜;

  • 在升结肠与降结肠的前壁为浆膜,后壁为纤维膜;

  • 在直肠上1/3段的大部、中1/3段的前壁为浆膜,余为纤维膜;

  • 外膜结缔组织中常有脂肪细胞聚集构成的肠脂垂。

二、阑尾

  • 阑尾的管腔小而不规则,大肠腺短而少;

  • 固有层内有极丰富的淋巴组织,大量淋巴小结可连续成层,并突入黏膜下层,致使黏膜肌层不完整;

  • 肌层很薄,外覆浆膜,富含血管;

  • 阑尾是具有黏膜免疫功能的器官。

打开网易新闻 查看精彩图片

1.黏膜 2.黏膜肌层 3.淋巴小结 4.黏膜下层 5.肌层

三、肛管

  • 在齿状线以上的肛管黏膜结构和直肠相似,仅在肛管上段出现了纵行皱襞(肛柱);

  • 在齿状线处,单层柱状上皮骤变为轻度角化的复层扁平上皮,大肠腺和黏膜肌消失;

  • 白线以下为和皮肤相同的角化复层扁平上皮,含有很多黑色素;

  • 固有层中出现了环肛腺(大汗腺)和丰富的皮脂腺;

  • 肛管黏膜下层的结缔组织中有密集的静脉丛,如静脉淤血扩张则形成痔;

  • 肌层由两层平滑肌构成,其内环行肌增厚形成肛门内括约肌;

  • 近肛门处,外纵行肌周围有骨骼肌形成的肛门外括约肌。

组织学26-小肠

小肠是消化和吸收营养物质的主要部位,分为十二指肠、空肠和回肠。

一、黏膜

  • 小肠壁的黏膜和黏膜下层向肠腔面突起,形成皱襞,可为环行、半环行或螺旋状走行,从距幽门约5cm处开始出现,在十二指肠末段和空肠头段极发达,向下逐渐减少、变矮,至回肠中段以下基本消失;

  • 黏膜表面有许多细小的肠绒毛,是由上皮和固有层向肠腔突起而成,长0.5~1.5mm,形状不一,以十二指肠和空肠头段最发达;

  • 绒毛在十二指肠呈宽大的叶状,在空肠如长指状,在回肠则为短的锥形;

  • 皱襞和肠绒毛使小肠内表面积扩大约30倍;

  • 绒毛根部的上皮和下方固有层中的小肠腺上皮相连续;

  • 小肠腺又称利伯屈恩隐窝,呈单管状,直接开口于肠腔。

1. 上皮

  • 单层柱状;

  • 绒毛部上皮由吸收细胞、杯状细胞和少量内分泌细胞组成;

  • 吸收细胞最多,呈高柱状,核椭圆形,位于基部,胞质含丰富的滑面内质网和高尔基复合体;

打开网易新闻 查看精彩图片

吸收细胞

  • 相邻细胞顶部有完善的紧密连接,可阻止肠腔内物质由细胞间隙进入组织,保证选择性吸收的进行;

  • 细胞游离面在光镜下可见纹状缘,电镜下由密集而规则排列的微绒毛构成;

  • 每个吸收细胞有 2000~3000根微绒毛,使细胞游离面面积扩大约20倍;杯状细胞散在于吸收细胞间,分泌黏液,有润滑和保护作用;

  • 从十二指肠至回肠末端,杯状细胞逐渐增多;

打开网易新闻 查看精彩图片

杯状细胞

打开网易新闻 查看精彩图片

胃肠主要内分泌细胞

  • 干细胞位于小肠腺下半部,胞体较小,呈柱状;

  • 细胞不断增殖、分化、向上迁移,补充在绒毛顶端脱落的吸收细胞和杯状细胞,也可分化为帕内特细胞和内分泌细胞;

  • 绒毛上皮细胞的更新周期为3~6天。

打开网易新闻 查看精彩图片

空肠绒毛

2. 固有层

  • 由疏松结缔组织组成,绒毛中轴的结缔组织内,有1~2条纵行毛细淋巴管,称中央乳糜管,它以盲端起始于绒毛顶部,向下穿过黏膜肌层进入黏膜下层形成淋巴管丛;

  • 中央乳糜管管腔较大,内皮细胞间隙宽,无基膜,通透性大;

  • 吸收细胞释出的乳糜微粒入中央乳糜管后输出;

  • 周围有丰富的有孔毛细血管,肠上皮吸收的氨基酸、单糖等水溶性物质主要经此入血;

  • 绒毛内还有少量平滑肌细胞,其收缩使绒毛变短,利于淋巴和血液运行;

  • 相邻绒毛根部之间的上皮内陷,伸入固有层中,形成肠腺,又称肠隐窝;

  • 肠腺上皮内除有吸收细胞和杯状细胞外,还有帕内特细胞、未分化细胞和内分泌细胞

  • 帕内特细胞位于肠腺基部,尤以回肠为多,常三五成群,细胞较大,呈圆锥形,核卵圆位于基部,顶部胞质含粗大的嗜酸性颗粒,基部胞质嗜碱性;

  • 固有层中还含有较多的淋巴细胞、浆细胞、巨噬细胞和嗜酸性粒细胞等;

  • 淋巴细胞可聚集在某些部位形成淋巴组织,淋巴细胞也可穿过黏膜肌进入黏膜下层;

  • 在回肠,许多淋巴小结聚集形成集合淋巴小结,患肠伤寒时,细菌常侵入该部淋巴组织,引起局部溃疡,甚至肠穿孔。

打开网易新闻 查看精彩图片

帕内特细胞

打开网易新闻 查看精彩图片

回肠固有层

3. 黏膜肌层

由内环行和外纵行两薄层平滑肌组成。

二、黏膜下层

  • 较致密的结缔组织,其中有较多血管和淋巴管;

  • 十二指肠的黏膜下层内有大量十二指肠腺,为黏液性腺,其导管穿过黏膜肌层开口于小肠腺底部,分泌黏稠的碱性黏液(pH 8.2~9.3),保护十二指肠免受胃酸侵蚀;

  • 小肠上皮及腺体的分泌物统称小肠液,成人每日分泌量为1~3L,PH约为7.6,除含上述分泌物外,还有大量水、NaCl、KCI 等。

三、肌层和外膜

  • 肌层由内环行和外纵行两层平滑肌组成;

  • 外膜除部分十二指肠壁为纤维膜外,余均为浆膜。

组织学27-大唾液腺
  • 大唾液腺包括腮腺、下颌下腺、舌下腺;

  • 各一对,分泌的唾液经导管排入口腔。

一、一般结构

  • 均为复管泡状腺,被膜较薄;

  • 被膜伸入结缔组织将腺实质分隔为大小不等的小叶;

  • 实质:导管+腺泡;

  • 腺泡分:浆液性、黏液性、混合性;

  • 在腺细胞、部分导管上皮细胞与基膜之间有肌上皮细胞,其收缩有助于分泌物排出;

  • 导管包括:闰管、纹状管、小叶间导管和总导管。

1. 闰管

  • 导管的起始部;

  • 直接与腺泡相连;

  • 管径细;

  • 管壁为单层扁平或立方上皮。

2. 纹状管

  • 又称分泌管;

  • 与闰管相连;

  • 管壁为单层高柱状上皮,核圆位于细胞顶部,胞质嗜酸性;

  • 细胞基部可见垂直纵纹,电镜下为质膜内褶和纵行排列的线粒体,使细胞基部表面积增大,便于细胞与组织液间进行水和电解质的转运。

打开网易新闻 查看精彩图片

1.闰管 2.纹状管

3. 小叶间导管和总导管

  • 纹状管汇合形成小叶间导管,行走于小叶间结缔组织内;

  • 小叶间导管较粗,初为单层柱状上皮,以后移行为假复层柱状上皮;

  • 小叶间导管逐级汇合,最后形成一条或几条总导管开口于口腔。

打开网易新闻 查看精彩图片

小叶间导管

二、三种大唾液腺的结构特点
1. 腮腺

  • 纯浆液性腺;

  • 闰管长,纹状管较短,分泌物含唾液淀粉酶。

2. 下颌下腺

  • 混合性腺,浆液性腺泡多,黏液性和混合性腺泡少;

  • 闰管短,纹状管发达;

  • 分泌物含唾液淀粉酶和黏液。

3. 舌下腺

  • 混合性腺,以黏液性腺泡为主,也多见混合性腺泡;

  • 无闰管,纹状管也较短;

  • 分泌物以黏液为主。

打开网易新闻 查看精彩图片

浆液细胞

打开网易新闻 查看精彩图片

黏液细胞

  • 唾液由大、小唾液腺分泌的混合液组成,95%以上来自三对大唾液腺;

  • 唾液中的水分和黏液起润滑口腔作用,唾液淀粉酶可使食物中的淀粉分解为麦芽糖;

  • 唾液中某些成分具有一定的防御作用,如溶菌酶和干扰素,能抵抗细菌和病毒的侵入;

  • 唾液腺间质内有浆细胞,分泌的IgA与腺细胞产生的蛋白质分泌片结合,形成sIgA,随唾液排入口腔,具有免疫作用;

  • 下颌下腺还分泌许多生物活性多肽,对多种组织和细胞的生理活动起重要调节作用,如表皮生长因子,可促进口腔上皮的增殖与创伤修复。

组织学28-胸腺

1. 结构

  • 胸腺分左右两叶;

  • 表面有薄层结缔组织被膜,被膜结缔组织成片状伸入胸腺内部形成小叶间隔,将实质分隔成许多不完全分离的胸腺小叶;

  • 每个小叶都有皮质和髓质两部分,相邻小叶间的髓质相互连续;

  • 皮质内胸腺细胞密集,故着色较深;

  • 髓质含较多上皮细胞,故着色较浅;

  • 胸腺为T细胞发育提供了独特的微环境,构成这一微环境的细胞统称胸腺基质细胞,主要包括胸腺上皮细胞、胸腺树突状细胞、巨噬细胞、嗜酸性粒细胞、肥大细胞、成纤维细胞等;

  • 胸腺于幼儿期较大,进入青春期后逐渐退化缩小,到老年时期胸腺实质大部被脂肪组织代替,皮质可完全消失,但髓质则终生存留。

打开网易新闻 查看精彩图片

1.皮质 2.髓质

(1)皮质

  • 以胸腺上皮细胞为支架,间隙内含有大量胸腺细胞和少量基质细胞;
    胸腺上皮细胞:又称上皮性网状细胞;

  • 皮质的上皮细胞分布于被膜下和胸腺细胞之间,多呈星形,有突起,相邻上皮细胞的突起间以桥粒连接成网;

  • 某些被膜下上皮细胞胞质丰富,包绕胸腺细胞,称哺育细胞;

  • 胸腺上皮细胞表面表达大量的MHC 分子,能分泌胸腺素、胸腺肽和胸腺生成素,为胸腺细胞发育所必需;

  • 胸腺细胞:即胸腺内处于不同分化发育阶段的T细胞,它们密集于皮质内,占皮质细胞总数的85%~90%。

(2)髓质

  • 内含较多胸腺上皮细胞、少量初始T细胞和巨噬细胞等;

  • 髓质上皮细胞呈多边形,胞体较大,细胞间以桥粒相连,也能分泌胸腺素,部分胸腺上皮细胞构成胸腺小体;

  • 胸腺小体是胸腺髓质的特征性结构,随年龄增长而增加,直径30~150µm,散在分布,由胸腺上皮细胞呈同心圆状排列而成;

  • 小体外周的上皮细胞,其核明显,细胞可分裂;

  • 近小体中心的上皮细胞,核渐退化,胞质中含有较多角蛋白;

  • 小体中心的上皮细胞则已完全角质化,呈强嗜酸性染色,有的已破碎,呈均质透明状;

  • 小体中还常见巨噬细胞、嗜酸性粒细胞和淋巴细胞。

打开网易新闻 查看精彩图片
胸腺小体
打开网易新闻 查看精彩图片

胸腺上皮细胞

(3) 胸腺的血液供应及血-胸腺屏障

  • 小动脉穿越胸腺被膜,沿小叶间隔至皮质与髓质交界处形成微动脉,然后发出分支进入皮质和髓质;

  • 皮质毛细血管在皮髓质交界处汇合为高内皮微静脉,成熟的初始T细胞在此穿过高内皮进入血流;

  • 髓质毛细血管常为有孔型,汇入微静脉后经小叶间隔及被膜出胸腺;

  • 血-胸腺屏障:血液内的大分子物质如抗体、细胞色素C、铁蛋白、辣根过氧化物酶等均不能进入胸腺皮质,使胸腺内T细胞分化发育成熟过程基本不受外界抗原影响,说明皮质的毛细血管及其周围结构具有屏障作用,称血-胸腺屏障。

血-胸腺屏障由下列结构组成:
①连续毛细血管,其内皮细胞间有完整的紧密连接;

②内皮周围连续的基膜;

③血管周隙,内含巨噬细胞;

④上皮基膜;

⑤一层连续的胸腺上皮细胞(突起)。

血-胸腺屏障在维持胸腺内环境的稳定,保证胸腺细胞的正常发育中起着极其重要的作用。

2. 胸腺的功能

胸腺是形成初始T细胞的场所,从皮质到髓质,T细胞逐渐成熟。

组织学29-胰腺

  • 胰腺表面覆有薄层结缔组织被膜,结缔组织伸入腺内将实质分隔为许多小叶;

  • 胰腺实质由外分泌部和内分泌部(胰岛)组成;

  • 外分泌部构成腺的大部分,是重要的消化腺,它分泌的胰液经导管排入十二指肠,在食物消化中起重要作用;

  • 胰岛分泌的激素进入血液或淋巴,主要调节糖代谢。

一、外分泌部
胰腺的外分泌部为纯浆液性复管泡状腺。
1. 腺泡

  • 每个腺泡含40~50个胰腺泡细胞,具有典型的浆液细胞形态特点;

  • 胰腺泡细胞分泌多种消化酶,如胰蛋白酶原、胰糜蛋白酶原、胰淀粉酶、胰脂肪酶、核酸酶等,它们分别消化食物中的各种营养成分;

  • 胰腺腺泡无肌上皮细胞;

  • 胰腺腺泡腔面还可见一些较小的扁平或立方形的泡心细胞,胞质染色淡,核圆或卵圆形;

  • 泡心细胞是延伸入腺泡腔内的闰管起始部上皮细胞。

打开网易新闻 查看精彩图片

→:胰岛 1:腺泡

2. 导管

  • 由闰管、小叶内导管、小叶间导管和主导管组成;

  • 闰管细而长,管壁为单层扁平或立方上皮,其伸入腺泡的一段由泡心细胞组成;

  • 闰管远端逐渐汇合形成小叶内导管;

  • 小叶内导管在小叶间结缔组织内汇合成小叶间导管,后者再汇合成一条主导管,贯穿胰腺全长,在胰头部与胆总管汇合,开口于十二指肠乳头;

  • 从小叶内导管至主导管,管腔渐增大,上皮由单层立方渐变为单层柱状,主导管为单层高柱状上皮,上皮内可见杯状细胞;

  • 胰腺导管上皮细胞可分泌水和碳酸氧盐等多种电解质,其分泌活动受小肠S细胞分泌的促胰液素调节;

  • 成人每天分泌1000~2000ml胰液;

  • 胰液为碱性液体,含多种消化酶和丰富的电解质,是最重要的消化液。

打开网易新闻 查看精彩图片

2:小叶内导管

二、内分泌部(胰岛)

  • 胰岛是由内分泌细胞组成的球形细胞团,分布于腺泡之间,HE 染色浅;

  • 成人胰腺约有100万个胰岛,约占胰腺体积的1.5%,于胰尾部较多,胰岛大小不等,直径75~500µm,小的仅由十几个细胞组成,大的有数百个细胞;

  • 胰岛细胞间有丰富的有孔毛细血管;

  • 人胰岛主要有A、B、D、PP 四种细胞,HE 染色不易区分,目前主要用免疫组织化学法进行鉴别。

1. A细胞

  • 又称甲细胞、α细胞;

  • 约占胰岛细胞总数的20%;

  • 细胞体积较大,多分布在胰岛周边部;

  • A细胞分泌高血糖素,能促进肝细胞的糖原分解为葡萄糖,并抑制糖原合成,使血糖浓度升高,满足机体活动的能量需要。

2. B细胞

  • 又称乙细胞、β细胞;

  • 约占胰岛细胞总数的70%;

  • 主要位于胰岛中央部;

  • B 细胞分泌胰岛素,主要促进肝细胞、脂肪细胞等吸收血液内的葡萄糖,合成糖原或转化为脂肪贮存,使血糖降低。

  • 高血糖素和胰岛素的协同作用能保持血糖水平处于动态平衡;

  • 若胰岛发生病变,B细胞退化,胰岛素分泌不足,可致血糖升高,并从尿中排出,即为糖尿病;

  • 胰岛 B 细胞肿瘤或细胞功能亢进,则胰岛素分泌过多,可导致低血糖症。

3. D细胞

  • 又称丁细胞、δ细胞;

  • 约占胰岛细胞总数的5%;

  • 分散在胰岛周边部,A、B细胞之间,并与A、B细胞紧密相贴,细胞间有缝隙连接;

  • D细胞分泌生长抑素,以旁分泌方式经缝隙连接直接作用于邻近的A细胞、B细胞或 PP 细胞,抑制这些细胞的分泌活动。

4.PP细胞

  • 数量很少;

  • 主要存在于胰岛周边部,还可见于外分泌部的导管上皮内及腺泡细胞间;

  • PP 细胞分泌胰多肽,具有抑制胃肠运动、胰液分泌及胆囊收缩的作用。

组织学30-肾(一)
  • 肾是人体主要的排泄器官,以形成尿液的方式排出体内的代谢废物;

  • 调节人体的水盐代谢和离子平衡,维持机体内环境的相对稳定;

  • 可分泌多种生物活性物质:肾素、前列腺素和促红细胞生成素等;

  • 呈豆形,外侧隆凸,内侧中部凹陷;

  • 表面有被膜,由致密结缔组织构成;

  • 实质分为皮质和髓质;

  • 髓质:

    10~18个肾锥体;

    锥体尖端钝圆,突入肾小盏内,称肾乳头,乳头管开口于此处;

  • 肾锥体的底与皮质相连接,从肾锥体底呈辐射状伸入皮质的条纹称髓放线;

  • 髓放线之间的肾皮质称皮质迷路;

  • 髓放线+周围的皮质迷路=肾小叶;

  • 肾锥体+相连的皮质=肾叶;

  • 肾锥体之间的皮质部分为肾柱;

  • 肾实质=肾单位+集合管。

打开网易新闻 查看精彩图片

肾冠状切面图

打开网易新闻 查看精彩图片

肾实质微细结构模式图

打开网易新闻 查看精彩图片

1.肾小体 2.皮质迷路 3.髓放线

打开网易新闻 查看精彩图片

肾实质的组成和各段的位置

  • 肾单位:肾小体+相连的肾小管,尿液形成的结构和功能单位;

  • 肾小管汇入集合管,均为单层上皮性管道,合称泌尿小管;

  • 肾单位和集合管有规律地分布于肾实质;

  • 肾小体和肾小管的弯曲部分位于皮质迷路和肾柱内,肾小管的直行部分与集合管位于髓放线和肾锥体内;

  • 肾内的少量结缔组织、血管和神经等构成肾间质。


组织学-肾(二)

肾单位

  • 肾的结构与功能单位,由肾小体肾小管组成;

  • 每个肾有约150万个肾单位,与集合管共同行使泌尿功能。

  • 肾小体位于皮质迷路和肾柱内,一端与肾小管相连;

  • 肾小管的起始段在肾小体附近盘曲走行,称近端小管曲部或近曲小管;

  • 继而进入髓放线或髓质直行,称近端小管直部或近直小管;

  • 随后管径变细,称细段;

  • 细段之后管径又增粗,称远端小管直部或远直小管;

  • 近直小管、细段和远直小管三者构成U型的髓袢;

  • 远直小管离开髓放线或髓质后,进入皮质迷路,盘曲走行于原肾小体附近,称远端小管曲部或远曲小管,最后汇入髓放线内的集合管;

  • 肾小体因在皮质中的位置不同而分为两种:

  • 浅表肾单位的肾小体位于皮质浅层和中层,体积较小,髓袢较短,约占肾单位总数的85%,在尿液形成中起重要作用;

  • 髓旁肾单位的肾小体位于皮质深部,体积较大,髓袢较长,约占肾单位总数的15%,对尿液浓缩具有重要的生理意义。

1. 肾小体

  • 呈球形,直径约200μm,由肾小囊和血管球组成;

  • 肾小体有两个极,微动脉出入的一端称血管极,对侧一端和近曲小管相连,称尿极。

打开网易新闻 查看精彩图片

肾⼩体与球旁复合体⽴体模式图

图源:《组织学与胚胎学》第9版

(1)血管球

  • 是肾小囊中一团盘曲的毛细血管;

  • 一条人球微动脉从血管极进入肾小囊内,分成4~5支,每支再分出袢状毛细血管,毛细血管又互相吻合为网,继而汇合,于近血管极处形成一条出球微动脉,离开肾小囊;

  • 血管球是一种独特的动脉性毛细血管网;

  • 入球微动脉管径较出球微动脉粗,使得毛细血管内血压较高;

  • 毛细血管为有孔型,孔径50~100μm,多无隔膜,利于血液中物质滤出;

  • 毛细血管内皮游离面的细胞衣富含带负电荷的唾液酸糖蛋白;

  • 内皮基底面除与血管系膜相接触的部位外,均有基膜;

  • 血管球毛细血管基膜较厚,在成人约为330nm;

  • 在电镜下分三层,中层厚而致密,内、外层薄而稀疏;

  • 基膜主要成分为Ⅳ型胶原蛋白、层黏连蛋白和蛋白多糖,Ⅳ型胶原蛋白形成网状结构,连接其他糖蛋白,共同形成孔径为4~8nm 的分子筛,在血液物质滤过中起关键作用;

  • 血管系膜又称球内系膜,连接于血管球毛细血管之间,主要由球内系膜细胞和系膜基质组成;

  • 球内系膜细胞形态不规则,细胞突起可伸至内皮与基膜之间;

  • 细胞核染色较深,细胞质含较发达的粗面内质网、高尔基复合体、溶酶体和吞噬体;

  • 细胞体和突起内有微管、微丝和中间丝。

(2) 肾小囊

  • 在胚胎时期肾小管的起始端膨大凹陷而成的杯状双层上皮囊;

  • 外层(壁层)为单层扁平上皮,在肾小体的尿极处与近曲小管上皮相连续,在血管极处反折为肾小囊内层(脏层),两层上皮之间的狭窄腔隙为肾小囊腔,与近曲小管腔相通;

  • 内层细胞称足细胞,细胞体较大,凸向肾小囊腔,细胞核染色较浅;

  • 光镜下,足细胞不易与内皮细胞、球内系膜细胞相区分;

  • 从细胞核着色情况看,球内系膜细胞最深,内皮细胞次之,足细胞最浅。

打开网易新闻 查看精彩图片

1.血管极 2.尿极 3.近曲小管 4.血管球

5.肾小囊腔 6.远曲小管

(3)滤过屏障

  • 肾小体犹如滤过器,当血液流经血管球的毛细血管时,管内血压较高,血浆内部分物质经有孔内皮、基膜和足细胞裂孔膜滤入肾小囊腔;

  • 这三层结构统称滤过屏障滤过膜

  • 分子量70kDa 以下、直径 4nm 以下的物质可通过滤过膜,其中又以带正电荷的物质易于通过,如葡萄糖、多肽、尿素、电解质和水等;

  • 滤入肾小囊腔的滤液称原尿,原尿除不含大分子蛋白质外,其成分与血浆相似;

  • 成人一昼夜两肾可形成原尿约180L;

  • 若滤过膜受损害(如肾小球肾炎),则大分子蛋白质甚至血细胞均可通过滤过膜漏出,出现蛋白尿或血尿。

打开网易新闻 查看精彩图片

滤过屏障模式图

图源:《组织学与胚胎学》第9版

组织学-肾(三)

肾小管

  • 管壁由单层上皮构成,上皮外为基膜和极少量结缔组织;

  • 肾小管有重吸收原尿成分和排泄等作用。

1.近端小管

  • 分曲部(近曲小管)和直部(近直小管)两段,是肾小管中最长最粗的一段,长约14mm,约占肾小管总长的一半;

  • 管径50~60μm,管腔不甚规则。

1️⃣近曲小管:

  • 上皮细胞为立方形或锥形;

  • 细胞分界不清;

  • 细胞体较大;

  • 细胞质嗜酸性;

  • 细胞核圆,位于近基底部;

  • 上皮细胞腔面有刷状缘,电镜下,可见刷状缘由大量较长的微绒毛整齐排列构成,使细胞游离面的表面积明显扩大。

打开网易新闻 查看精彩图片

1.近曲小管

2️⃣近直小管:

结构与曲部基本相似,但上皮细胞较矮,微绒毛、侧突和质膜内褶等不如曲部发达。

  • 近端小管的上述结构特点使其具有良好的吸收功能,是重吸收原尿成分的主要场所,原尿中几乎所有葡萄糖、氨基酸、蛋白质以及大部分水、离子和尿素等均在此段重吸收;

  • 尽管近端小管上皮细胞间有紧密连接,但不是完全封闭的,对水和离子通透的阻力较低。

2.细段

  • 管径细,直径10~15μm;

  • 管壁为单层扁平上皮,细胞核椭圆形,含核部分突向管腔,细胞质着色较浅,无刷状缘。由于细段上皮薄,有利于水和离子通透。

3.远端小管

  • 包括远直小管和远曲小管;

  • 管腔较大而规则;

  • 管壁上皮细胞呈立方形,比近端小管细胞小;

  • 细胞核位于中央或靠近管腔;

  • 细胞质染色较近端小管浅,游离面无刷状缘。

打开网易新闻 查看精彩图片

远端小管

1️⃣远直小管:

  • 管径约30μm;

  • 电镜下,细胞表面有少量短而小的微绒毛,基底部质膜内褶发达,长的内褶可伸达细胞顶部,基部质膜上有丰富的 Na、K-ATP 酶,能主动向间质运转Na。

2️⃣远曲小管:

  • 直径35~45μm;

  • 超微结构与直部相似,但质膜内褶不如直部发达;

  • 远曲小管细胞有吸收水、Na和排出K、H、NH3等功能,是离子交换的重要部位,对维持体液的酸碱平衡发挥重要作用。

  • 远曲小管的功能活动受激素调节,醛固酮能促进此段重吸收 Na和排出K;

  • 抗利尿激素能促进此段对水的重吸收,使尿液浓缩,尿量减少。