*仅供医学专业人士阅读参考

看图诊断,快来自测!

病例简介

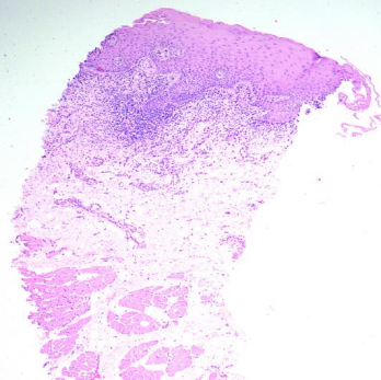
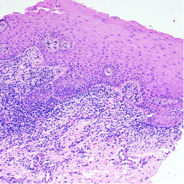
10岁女孩,舌背单发无症状斑块9个月。查体见右侧舌背2cm×1cm苍白增厚斑块,表面无裂纹及乳头改变(图1);舌腹左侧多条线状糜烂,覆白色坏死假膜。除牙齿排列不齐外,口腔其余部位及皮肤未见异常。血常规、肝肾功能均正常。组织病理示:鳞状上皮中度棘层肥厚,表皮突不规则下延;基底层空泡变性,淋巴细胞中度外渗,偶见胶样小体(图2)。上皮下可见带状淋巴细胞浸润及少量噬黑素细胞(图3),未见表皮内水疱及棘层松解细胞。直接免疫荧光(DIF)未检出任何免疫沉积物。

打开网易新闻 查看精彩图片

图1:右侧舌背2×1cm苍白增厚斑块,表面无裂纹及乳头改变

打开网易新闻 查看精彩图片

图2:鳞状上皮中度棘层肥厚,表皮突不规则下延;基底层空泡变性,淋巴细胞中度外渗,偶见胶样小体

打开网易新闻 查看精彩图片

图3:上皮下可见带状淋巴细胞浸润及少量噬黑素细胞,未见表皮内水疱及棘层松解细胞

Q:

最可能的诊断是什么?

A:

A、口腔扁平苔藓

B、舌部HPV感染

C、创伤性纤维瘤

D、接触性苔藓样反应

本期答案

正确答案:A、口腔扁平苔藓

诊治过程:

口腔扁平苔藓(oral lichen planus, OLP)是一种T细胞介导的慢性黏膜炎症,好发于30–60岁女性,亦可见于儿童,男女比例约1.4:1。临床按Andreason标准分为网状、丘疹、斑块、萎缩、糜烂及大疱六型,其中网状型最常见(约46%),典型表现为双侧颊黏膜对称性白色Wickham纹,常无症状;糜烂-萎缩型次之(约45%),呈红斑或浅表溃疡,伴灼痛及辛辣刺激痛。

病变可累及舌、牙龈、唇、腭,舌背肥厚型表现为不可擦拭的白色角化斑块,易误诊为白斑。病程慢性波动,有自发缓解与加重;糜烂型长期不愈者被视为潜在恶性病变,年恶变率0.2–0.5%,需3–6个月随访一次。组织学示角化过度/不全、颗粒层楔形增生、基底细胞液化变性伴胶样小体、锯齿状钉突及紧贴基底膜的带状淋巴细胞浸润(以CD8⁺ T细胞为主),固有层可见噬黑素细胞及纤维蛋白沉积;直接免疫荧光显示基底膜区纤维蛋白原线状沉积,胶样小体处可见IgM斑点,无IgG/IgA连续沉积,可与类天疱疮等鉴别。

确诊需典型临床结合活检,鉴别包括药物/接触性苔藓样反应、黏膜类天疱疮、寻常型天疱疮、线状IgA病、白斑、慢性溃疡性口炎、硬化苔藓、GVHD及疱疹样沟纹舌等,依病史、临床及病理排除。

治疗以局部中-超强效糖皮质激素(如0.05%丙酸氯倍他索凝胶)为一线,每日2次,疗程4–6周;伴糜烂者可加3%利多卡因漱口止痛。替代或辅助方案包括0.1%他克莫司软膏、0.1%吡美莫司乳膏、短程0.5–1mg/kg泼尼松口服,顽固病例可用环孢素、吗替麦考酚酯或阿维A。支持治疗强调避免辛辣、酒精、吸烟及机械刺激,合并念珠菌感染时联用制霉菌素含漱。多数患者经局部治疗可获完全缓解,但停药后30–50%复发;长期随访可早期发现恶变,若出现结节、溃疡加深或失去对称性应再次活检。

参考文献:

[1]Gupta P, Sangwan P, Ayyanar P, Behera B. A Hypertrophic Plaque Over the Tongue in a Young Child. Pediatr Dermatol. 2025 Nov 20. doi: 10.1111/pde.70070. Epub ahead of print. PMID: 41263404.

责任编辑:叶子

"医学界"力求所发表内容专业、可靠,但不对内容的准确性做出承诺;请相关各方在采用或以此作为决策依据时另行核查。