打开网易新闻 查看精彩图片

者:宠物医师网编委会

点击阅读作者更多临床文献

摘要

扩张型心肌病(DCM)分为原发性扩张型心肌病及继发性扩张型心肌病。猫罕见原发性DCM,在猫心肌病病例中占比< 5%。猫DCM是心室心肌病,特征是原发的心肌收缩功能衰竭。原发性DCM的病因不明,可能是多个原因造成的,在猫上没有发现可遗传的原因。继发性DCM常见于牛磺酸缺乏、心动过速型心肌病、严重的容量过载导致继发性心肌衰竭、中毒、感染等原因继发自从1987年,猫饲料中添加了牛磺酸后,DCM就很少发生了。

本文介绍了一例高度怀疑猫原发性扩张型心肌病的案例,5Y雌性已绝育美国短毛猫出现了严重的心肌收缩功能障碍及心脏腔室扩张,导致心源性胸腹腔积液、组织脏器水肿、低血压等情况,在病史调查及实验室检查初步排除牛磺酸缺乏、心律失常、中毒、感染等因素,按原发性DCM治疗,但经治疗仍无较大起色,最终死亡。以下为本文的详细内容。

关键词:猫扩张型心肌病;DCM;心力衰竭;牛磺酸缺乏;胸腹腔积液;低血压

一、病例信息

1.1基本信息

宠物名:小美;

品种:美国短毛猫;

性别:雌性,未绝育;

年龄:5Y;

体重:5.90kg

1.2主诉及病史

2024年12月14日因渐进性精神食欲下降及呼吸困难入院。初次发现异常于就诊前一周左右,宠主发现患猫运动量下降,与人互动减少,进食量减少,直至就诊当天,患猫几乎不主动进食,运动不耐受,呼吸起伏明显增大。单猫饲养,日粮是某大品牌猫粮,品质有保证。育有一公一母后代生活在另一家庭,吃的同一款猫粮,其中公猫一个月前因下泌尿道梗阻曾入院进行过心脏超声扫查,在6%脱水情况下,测得其心肌厚度约0.70cm-0.76cm,LA/AO=1.18,诊断为猫肥厚型心肌病表型,HCM B1期。

病史(与本次相关的病史):无

其他过去的疾病史:无

环境史:居家饲养,单猫家庭

免疫史:免疫齐全

驱虫史(体内):按时驱虫

上次体内驱虫时间:3月之内

驱虫史(体外):按时驱虫

上次体外驱虫时间:3月之内

二、临床检查

2.1一般检查

BCS6/9,MCS未见肌肉丢失;W:5.9kg;T:38.2℃;Hr:200bpm;R:68次/min;P:100/66/76mmHg;精神一般,意识较清晰;眼口鼻耳洁净,轻度牙积石,可视粘膜淡粉;呼吸略急促,呼气时间延长,矛盾式呼吸,肺部呼吸音及心音略减弱,左侧胸骨旁可听诊到收缩期心杂音2/6级;颈静脉搏动;腹部触诊,膀胱充盈,双肾大小适中,胃肠空虚,有少量成型粪便;体表淋巴结未见肿大,被毛光滑,皮肤弹性轻度下降,脱水6%,体表及四肢躯干未见明显异常,无神经症状。

2.2急救措施

由于猫呼吸急促属于急诊,需要采取必要的急救措施,在猫状态相对的稳定的情况下,先安排患猫进行胸腔X线片,初步判断呼吸急促发生的原因,以下为所拍摄的X线片:

2.2.1 胸腔X线片(抽胸水前)

打开网易新闻 查看精彩图片
打开网易新闻 查看精彩图片

图1、图2 DR可见:胸腔整体不投射性增加,心脏轮廓不清,可见肺叶回缩,气管上抬,横膈膜不清晰;提示:胸腔积液(待查)。

患猫在氧仓吸氧半小时,呼吸频率从60次/min下降至48次/min,进一步通过胸腔快速焦点扫查确定胸腔积液,在非镇静的情况下超声引导胸腔穿刺,抽出透明淡黄色积液120ml左右。

2.2.2胸水分析

打开网易新闻 查看精彩图片

2.2.3胸腔X线片(抽胸水后)

打开网易新闻 查看精彩图片
打开网易新闻 查看精彩图片

图3、图4 DR可见:胸膜腔积液抽吸后,心脏轮廓清晰,可见气管上抬,心尖钝圆,心影轮廓与胸骨接触面增大;后腔静脉扩张,肝脏肿大。提示:全心增大,怀疑存在充血性心力衰竭

胸腔积液抽出后,患猫呼吸深度明显变浅,呼吸频率下降至40次/min,但仍旧精神一般,未表现出应激反应。在氧仓吸氧监测血压,而后安排血液检查及其他影像学检查,监测收缩压约85-100mmHg、舒张压56-66mmHg、平均动脉压61-76mmHg,心率约181-201bmp,血压偏低,心率较快,考虑心输出不足/血容量不足,机体自我代偿。

2.3 实验室检查

2.3.1血常规(12.14)

检测项目

检测结果

参考数值

红细胞RBC

9.14×10^12/L

6.54~12.20×10^12/L

红细胞比容HCT

39.4%

30.3~52.3%

血红蛋白HGB

12.7g/dL

9.8~16.2g/dL

红细胞平均体积MCV

43.1fL

35.9~53.1fL

平均红细胞血红蛋白含量MCH

13.9pg

11.8~17.3pg

平均红细胞血红蛋白浓度MCHC

32.1g/dL

28.1~35.8g/dL

红细胞分布宽度RDW

24.6%

15.0-27.0%

网织红细胞百分比%RETIC

15.0~27%

网织红细胞RETIC

3.0~50K/μL

白细胞WBC

7.67×10^9/L

2.87~17.02×10^9/L

中性粒细胞百分比% NEU

77.1%

淋巴细胞百分比% LYM

15.9%

单核细胞百分比% MONO

6.8%

嗜酸性粒细胞百分比% EOS

嗜碱性粒细胞百分比% BASO

0

中性粒细胞NEU

5.91×10^9/L

2.3~10.29×10^9/L

淋巴细胞LYM

1.22×10^9/L

0.92~6.88×10^9/L

单核细胞MONO

0.52×10^9/L

0.05~0.67×10^9/L

嗜酸性粒细胞EOS

0.02×10^9/L

0.17~1.57×10^9/L

嗜碱性粒细胞BASO

0×10^9/L

0.01~0.26×10^9/L

血小板数目PLT

173K/μL

151-600K/μL

血小板平均体积MPV

18fL

11.4~21.6fL

血小板压积PCT

0.31%

0.17~0.86%

表1

结果提示:血常规未见明显贫血、未见全身性炎症感染及血小板异常。

2.3.2 SAA(12.14)

检测项目

检测结果

参考数值

SAA

Below 5.00 ug/mL

<5ug/ml:Normal

5-10ug/ml:Equivocal

>10ug/ml:Abnormal

表2

结果提示:机体暂未存在显著急性期炎症反应。

2.3.3 生化(12.14)

检测项目

检测结果

参考数值

GLU

3.85-8.84mmol/L

CREA

121

71-212umol/L

UREA

12

5.7-12.9mmol/L

BUN/CREA

25

PHOS

1.99

1-2.42mmol/L

CA

1.99

1.95-2.83mmol/L

TP

69

57-89g/L

ALB

31

23-39g/L

GLOB

38

28-51g/L

ALB/GLOB

0.8

ALT

701

12-130U/L

ALKP

20

14-111U/L

GGT

0

0-15U/L

TBIL

2

0-15umol/L

CHOL

2.73

1.68-5.81umol/L

AMYL

816

500-1500U/L

LIPA

344

100-1400U/L

表3

结果提示:血糖轻度升高,考虑应激性高血糖;丙氨酸转氨酶升高,提示可能存在肝损伤;白蛋白、胆固醇、胆红素、肾指标、白球比等均未见异常。

2.3.4 血气(12.14)

检测项目

检测结果

参考范围

单位

PH

7.25-7.40

PCO2

39.9

mmHg

33-51

P02

21

mmHg

90-110

BEecf

-6

mmol/L

-5-2

HCO3

20

mmol/L

15-34

TCO2

21

mmol/L

16-25

SO2

29

≥90

NA

134

mmol/L

147-162

K

4.5

mmol/L

2.90-4.2

iCa

1.17

mmol/L

1.2-1.32

GLU

192

mg/dL

60-130

HCT

31

%PCV

24-40

Hb

10.5

g/dL

8-13

表4

结果提示:血液酸碱度正常;低血钠、低游离钙、轻度高血钾、高血糖,考虑与饮食不足、脱水引起离子紊乱、应激等有关系。

2.3.5 心肌钙蛋白(12.15)

检测项目

检测结果

参考数值

cTnI

1.1ng/mL

<0.1ng/mL:Normal

0.1-0.2ng/mLl:Equivocal

>0.2ng/mL:Abnormal

表5

结果提示:心肌钙蛋白升高,提示存在心肌损伤。

2.3.6 NT-proBNP(12.15)

检测项目

检测结果

参考数值

f.NT-proBNP

>457.71pmol/L

<100pmol/L:Normal

≥100pmol/L:Anormal

If NT-proBNP results are>270pmol/L in cats with respiratory signs,congestive hearts failure is the most likely cause。

表6

结果提示:f.NT-proBNP升高,提示心肌压力过大,心肌细胞过度牵拉,结合临床怀疑心力衰竭。

2.3.7 心电图(12.15)

打开网易新闻 查看精彩图片

图5

结果提示:窦性心律;S波加深,心电轴右偏,怀疑右心增大或心肌肥厚。

2.4影像学检查

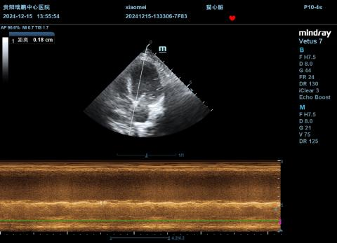
2.4.1超声心动图(12.15)

打开网易新闻 查看精彩图片
打开网易新闻 查看精彩图片
打开网易新闻 查看精彩图片
打开网易新闻 查看精彩图片
打开网易新闻 查看精彩图片
打开网易新闻 查看精彩图片
打开网易新闻 查看精彩图片
打开网易新闻 查看精彩图片
打开网易新闻 查看精彩图片
打开网易新闻 查看精彩图片
打开网易新闻 查看精彩图片
打开网易新闻 查看精彩图片
打开网易新闻 查看精彩图片
打开网易新闻 查看精彩图片
打开网易新闻 查看精彩图片
打开网易新闻 查看精彩图片
打开网易新闻 查看精彩图片

图6-22

打开网易新闻 查看精彩图片
打开网易新闻 查看精彩图片

结果提示:

①舒张末期LVIDd:2.39cm,EPSS=0.81,2D模式可见左心房、左心室、右心房、右心室严重扩张,提示全心扩张、全心增大;

②FS=8.99-15.29%,EF(A2C)=5.07%,提示左心室收缩功能严重下降;

③二尖瓣瓣环扩大,轻度反流,反流速度约340.3cm/s,压差约46.32mmHg;

④三尖瓣瓣环扩大,轻度反流,反流速度约207.64cm/s,压差约17.25mmHg;

⑤二尖瓣环收缩期位移(MAPSE)明显减小,提示左心室收缩功能下降;

⑥LA/AO=1.93,提示左心房扩张;

⑦大量胸腔积液(厚度约3.95cm);

⑧综上述,本次影像可诊断猫扩张型心肌病表型,DCM C期,伴发胸腹水及肝被动充血。

2.4.2腹部超声(12.15)

打开网易新闻 查看精彩图片
打开网易新闻 查看精彩图片
打开网易新闻 查看精彩图片
打开网易新闻 查看精彩图片
打开网易新闻 查看精彩图片
打开网易新闻 查看精彩图片
打开网易新闻 查看精彩图片
打开网易新闻 查看精彩图片
打开网易新闻 查看精彩图片
打开网易新闻 查看精彩图片
打开网易新闻 查看精彩图片
打开网易新闻 查看精彩图片

图23-34

结果提示:

①肝脏肿大,肝静脉轻度扩张,怀疑充肝被动充血、肝炎,建议结合临床及其他检查诊断;

②胃扩张积液,蠕动迟缓,疑似胃炎;

③少量腹腔积液。

三、诊断

根据患猫的病史及临床表现,影像学及实验室检查可见心脏增大,全心扩张,左心室、右心室收缩功能严重下降,二尖瓣、三尖瓣瓣环扩张伴收缩期轻度反流,右心充血性心力衰竭,引起胸腹腔积液、肝脏淤血肿大,胃肠胀气,蠕动迟缓,心输出降低,心率代偿性加快,血压下降,导致患猫临床出现呼吸急促、虚弱、无力、食欲废绝等情况,诊断为猫扩张型心肌病表型,DCM C期。

就诊当天为缓解呼吸困难抽取胸腔积液120ml左右,呼吸频率下降。

猫的扩张型心肌病常见于:牛磺酸缺乏、感染继发的心肌炎、系统性疾病继发的扩张型心肌病、心动过速性心肌病、其他心肌病终末期等。目前心电图未见明显心律失常,血常规及SAA未见明显炎症反应,心肌钙蛋白仅轻度升高,且猫咪按时驱虫严格居家饲养,基本可以排除感染因素;猫咪主食为大品牌猫粮,且家里其他猫咪也是吃的同一款猫粮,也因体检做过心脏彩超,表现为HCM表型,因此牛磺酸缺乏可能性较低,但仍需送检检测血液牛磺酸浓度水平。主要怀疑特发性扩张型心肌病,遗传性扩张型心肌病,不排除HCM终末期等。

四、治疗

4.1治疗原则

该阶段已经初步确定发病原因,并且已经抽出胸腔积液解除了呼吸窘迫,主要治疗原则为:吸氧,改善心肌功能,控制心力衰竭的症状,补充牛磺酸,维持血压,预防血栓,预防可能出现心律失常,改善肝脏及胃肠道功能。

4.2治疗用药

具体治疗用药:

①0.25mg/kg 匹莫苯丹 bid q12h;正性心力,增强心脏收缩功能,增加心输出量;

②2mg/kg呋塞米 iv,bid q12h;利尿剂,促进体腔液代谢,减轻胃肠道水肿;

③牛磺酸,250mg-500mg bid q12h;营养心脏,保护心肌细胞抗心律失常;

④18.75mg 氯吡格雷 po sid,预防血栓形成;

⑤辅酶Q10,营养心肌;

⑥甘必生,sid,q24h;护肝、抗炎抗氧化;

⑦葡萄糖酸钙,iv,1-2ml/kg;血气监测过程中发现游离钙持续下降,适当补充钙可以预防低血钙症发生。钙与心肌收缩性有密切关系,低血钙将引起QT间期延长,容易发展为多形性室性心律失常,严重时可导致心源性猝死;

⑧0.9%氯化钠,每日监测体重,食欲不佳、脱水时缓慢静脉滴注,因低血钠选择生理盐水,同时补充维生素;

⑨氯化钾缓释片,125mg-250mg po bid,监测血气,及时补钾;

⑩多巴酚丁胺2~10ug/ kg / min,从最低流速CRI,监测血压,低血压时使用。

4.3病情变化

患猫安置于相对静音的氧仓中,保证充足的氧气供给,并尽可能减少外界的干扰降低应激反应。用药后患猫呼吸频率逐渐下降,约40-48次/min,食欲恢复,主动进食,但进食量较少,只愿意吃一些味道较重的食物,例如猫条、猫酱。服用匹莫苯丹之后,对血压及心率的改善并不明显,收缩压动态维持在82-118mmHg,大多数时间在86-100mmHg范围;心率持续维持在较高水平,心率约182-220bmp,体温偏低,在37.2℃-37.5℃波动;患猫整体比较安静、嗜睡,由于进食量较少,每日4次饲喂肠道处方罐头。

住院用药治疗几日,患猫情况几乎无改善,精神一般,嗜睡,大多数时间都处于轻度低血压、低体温,高心率的状态中,提示心输出差,但胸腹水几乎没有产生,因此停用呋塞米,将匹莫苯丹加量至一日三次,输液补充营养,期间也间断性输注多巴酚丁胺正性心力,但仍无较大起色,且食欲较前几日明显下降,几乎不主动进食,人工喂食时也较为反抗,期间还开始排糊状粪便,考虑与胃肠道缺血缺氧有关,口服益生菌调理肠道菌群。

4.4检查化验

4.4.1 血气(12.18)

检测项目

检测结果

参考范围

单位

PH

7.25-7.40

PCO2

28

mmHg

33-51

P02

40

mmHg

90-110

BEecf

-7

mmol/L

-5-2

HCO3

18

mmol/L

15-34

TCO2

19

mmol/L

16-25

SO2

77

≥90

NA

124

mmol/L

147-162

K

4.2

mmol/L

2.90-4.2

iCa

0.97

mmol/L

1.2-1.32

GLU

141

mg/dL

60-130

HCT

33

%PCV

24-40

Hb

11.2

g/dL

8-13

表7

结果提示:呼吸性碱中毒;低血钠、低游离钙,较上次进一步降低;应激性或餐后高血糖。

4.4.2 超声心动图(12.21)

打开网易新闻 查看精彩图片
打开网易新闻 查看精彩图片
打开网易新闻 查看精彩图片
打开网易新闻 查看精彩图片
打开网易新闻 查看精彩图片
打开网易新闻 查看精彩图片
打开网易新闻 查看精彩图片
打开网易新闻 查看精彩图片
打开网易新闻 查看精彩图片
打开网易新闻 查看精彩图片
打开网易新闻 查看精彩图片

图35-45

结果提示:

①舒张末期LVIDd:2.54-2.97cm,EPSS=0.94,左心室较12月15日扩张(LVIDd:2.54-2.97cm,EPSS=0.81);

②舒张末期IVSd=0.38-0.45cm、LVPWd=0.36-0.38cm,室间隔与左室游离壁较上次变薄(IVSd=0.50-0.55cm、LVPWd=0.39-0.55cm);

③FS=8.85-11.36%,左心室收缩功能较上次下降(FS=8.99-15.29%);

④二尖瓣瓣环扩大,轻度反流,反流速度约265.32cm/s,压差约28.16mmHg,反流流速较上次下降(MR Vmax=265.32cm/s),提示左心室收缩功能进一步下降;

⑤LA/AO=1.99,提示左心房扩张;

⑥少量胸腔积液(厚度约0.47cm),较上次明显减少;

⑦综上述,胸腹水减少,考虑与右心衰竭被控制有关,但心脏收缩功能严重受损,因此DCM各项指标均进一步变差。

4.5治疗结果

考虑到费用高昂,预后不良,且患宠对治疗反应不佳,宠主最终选择安乐。

五、总结与讨论

5.1 猫心肌病

猫心肌病是心脏肌肉疾病,原发性心肌病表示心肌病并非继发于瓣膜病、心包疾病、冠状动脉血管疾病、全身性高血压或肺高压、先天性畸形、全身性疾病等,多数原因不明。继发性心肌病继发于感染、中毒、代谢、或者其他疾病过程,常见的猫心肌病有:肥厚型心肌病HCM、扩张型心肌病DCM、限制型心肌病RCM、致心律不整性右室心肌病ARVC、左室致密不全LVNC、未定义型心肌病等UCM。其中牛磺酸缺乏引起的扩张型心肌病是猫唯一可以确定病因的心肌疾病。

5.2关于该病例的一些思考

患猫因DCM充血性心力衰竭入院,主要异常为体腔积液、虚弱无力,超声可见心脏左右心腔室均明显扩张,在持续的超声心动检查追踪过程中,发现患猫最初是由右心衰竭引起的体腔积液、多器官被动充血,由左心收缩功能衰竭引起的低心输出、低血压,使得患猫出现虚弱无力等临床症状,属于全心衰竭。治疗后体腔液基本消失,在超声心动检查中也可以发现右心房的压力明显下降,但由于左心功能受损过于严重,因此但患猫除了呼吸急促缓解之外的临床症状均未得到改善,以下是治疗前后左右心房压力变化的影像。

打开网易新闻 查看精彩图片

图35:刚开始用药治疗时,舒张末期房间隔向左心房凸出,提示此时右心房压力高于左心房;同时心电图还可以观察到QRS为负向波,心电轴右偏;

打开网易新闻 查看精彩图片

图36:治疗一周,舒张末期房间隔向右心房凸出,提示左心房压力高于右心房,此时已没有明显体腔积液;心电图还可以观察到QRS转变为正向波。

转发给同行,然后点击【在看】叭~

扫码投稿

合作转载联系

打开网易新闻 查看精彩图片

云讲堂

官网

注:本站信息仅供兽医专业人士参考,可为动物疾病诊断与治疗提供思路,但不构成直接医疗指导。本站转载或引用文章如涉及版权问题,请速与我们联系,对此造成的不便深表歉意!

参考文献:

[1]小动物内科学,第五版.

[2]犬猫心脏病学手册,第五版.

[3]Effects of pimobendan on left atrial transport function in cats.

[4]Pion PD, Kittleson MD, Thomas WP, Skiles Ml, RogersQR.猫扩张型心肌病的临床表现及与牛磺酸缺乏的关系。JAm Vet Med Assoc 1992:201:267-74.

[5]Hambrook LE,Bennett PF。pimobendan对非牛磺酸反应性扩张型心肌病猫的临床结局和生存率的影响。JFel MedSurg 2012;14:233-9.

点击图片立即预约课程吧

近期实操课程

点击图片立即预约课程吧

一例猫脓胸的诊治报告

心脏急诊

一例猫急性心肾综合征的病例报告

犬猫急性充血性心力衰竭的药物治疗

本文只是冰山一角!想了解更多专业分析?我们已整理在【宠物医师网】

“今天怎么没看到宠物医师网的科普?”

点击"宠物医师网"公众号
点击右上角【···】
选择【设为星标】点亮小星星

就能第一时间收到专业知识和在线提醒啦!

编 辑 | 李大闲

审 核 | Quinn