天冬氨酸蛋白酶(EC 3.4.23.X)是一类在酸性条件下催化肽键水解的内切蛋白水解酶,亦称为酸性蛋白酶。根据序列特征和结构特点,该类酶在MEROPS蛋白酶数据库中被划分成14 个不同的亚家族,其中A1家族天冬氨酸蛋白酶与胃蛋白酶的相似度最高。

A. niger作为一种重要的工业真菌,已广泛用于酶制剂的生产。根据GB 2760—2024《食品添加剂使用标准》的规定,黑曲霉已批准用作蛋白酶供体。

中国农业大学食品科学与营养工程学院的薛意斌、曾龙达、江正强*等黑曲霉中发掘一个新型天冬氨酸蛋白酶(AnproA1),通过多种策略实现其在毕赤酵母菌中的高效分泌表达,研究该酶的酶学特性,并应用于水解鸭血蛋白制备血管紧张素转换酶(ACE)抑制活性肽,以期为利用新型蛋白酶制备鸭血活性肽提供理论指导。

打开网易新闻 查看精彩图片

1

黑曲霉天冬氨酸蛋白酶AnproA1的基因克隆和序列分析

克隆得到黑曲霉来源的天冬氨酸蛋白酶AnproA1基因,全长1 278 bp,编码426 个氨基酸。Signal P 4.1软件分析显示,N端无信号肽序列,表明该蛋白酶属于胞内蛋白酶。预测该酶有2 个N-糖基化位点和16 个O-糖基化位点。氨基酸序列同源比对分析显示,该酶与产红青霉(Penicillium rubens)来源的天冬氨酸蛋白酶(GenBank登录号:B6HL60)具有最高同源性(42.6%),其次为来源于微紫青霉(Penicillium janthinellum)的天冬氨酸蛋白酶(GenBank登录号:P00798)(42.15%)。根据同源序列比对分析显示,AnproA1属于胃蛋白酶样天冬氨酸蛋白酶A1家族,含有DTGS和DTGT 2 个特征催化基序,且2 个基序中的天冬氨酸残基(D108、D305)位于催化中心负责发挥催化作用(图1A)。天冬氨酸蛋白酶AnproA1的氨基酸序列(GenBank登录号:XP_025458333.1),通过BLAST工具分析获得其他相同A1家族天冬氨酸蛋白酶氨基酸序列,采用系统邻近法构建系统发育树分析AnproA1与其他同源A1家族蛋白酶的进化关系,结果如图1B所示。AnproA1不同于进化树中的其他真菌蛋白酶,聚集在一个新的分支上,表明AnproA1可能是一个新型的天冬氨酸蛋白酶。

打开网易新闻 查看精彩图片
打开网易新闻 查看精彩图片
打开网易新闻 查看精彩图片

2

多种策略对AnproA1在毕赤酵母菌中表达的影响

如图2所示,采用d1+2×201AOX1启动子和MF4ISS信号肽表达AnproA1产生的重组菌株RS-1摇瓶发酵,产生了142.7 U/mL的蛋白酶活力。在RS-1菌株中导入vgb基因后,重组菌株RS-2的蛋白酶活力显著提升至196.5 U/mL。在RS-1菌株中共表达HAC1与vgb基因后,重组菌株RS-3的蛋白酶活力达到292.6 U/mL。在RS-3菌株中组合过表达eIF4G和Pab1基因,重组菌株RS-4的蛋白酶活力进一步提升至386.6 U/mL。在此基础上,敲除Gas1基因后重组菌株RS-5的蛋白酶活力提升至423.5 U/mL。继续敲除Rox1基因,重组菌株RS-6的蛋白酶活力达到497.3 U/mL。上述策略协同显著提高了AnproA1在毕赤酵母菌中的表达水平。

打开网易新闻 查看精彩图片

前期研究表明,在毕赤酵母菌中共表达转录因子HAC1和血红蛋白vgb基因能够显著提高外源蛋白的表达水平。在本研究中,与RS-1菌株相比,共表达HAC1和vgb基因的RS-3菌株使AnproA1的蛋白酶活力提高了1.1 倍(图2)。这可能是由于二者共表达促进了AnproA1在内质网中的正确折叠和修饰,同时改善了重组菌株在发酵过程中的溶氧环境,从而提升了AnproA1的产酶水平。翻译起始被认为是蛋白质合成的主要限速步骤,而与闭环构象相关的翻译起始因子(eIFs)的过表达对毕赤酵母菌中的蛋白质合成具有积极作用。在本研究中,与RS-3菌株相比,组合过表达翻译起始因子eIF4G和Pab1基因的RS-4菌株使AnproA1的蛋白酶活力提高了32.1%(图2)。这可能是由于eIF4G和Pab1基因的组合过表达缓解了mRNA翻译为多肽链的限制,提高了mRNA的翻译效率,进而提高了AnproA1的表达水平。Gas1基因的敲除可以增强酵母菌细胞壁的通透性,对促进蛋白质分泌至胞外具有积极作用。与RS-4菌株相比,Gas1基因敲除的RS-5菌株使AnproA1的蛋白酶活力提高了9.5%(图2)。这可能是由于细胞壁通透性的改变增强了已合成蛋白的胞外分泌。Rox1是低氧基因的激活因子和血红素合成的抑制因子,它通过调节溶解氧水平影响蛋白质的合成。与RS-5菌株相比,Rox1基因敲除的RS-6菌株使AnproA1的蛋白酶活力进一步提高了17.4%(图2)。这可能归因于发酵过程中溶解氧水平的增加。

3

高密度发酵产AnproA1和纯化产物分析

重组菌株RS-6在5 L发酵罐中进行高密度发酵,发酵192 h时发酵液蛋白酶活力达到15 250.0 U/mL,蛋白质量浓度为14.0 mg/mL,菌体湿基质量浓度为516.0 g/L(图3A)。由图3B可知,随着发酵时间的延长,发酵上清液中分泌的目标蛋白含量逐渐增加。粗酶液经强阴离子交换层析柱(QSFF)纯化后,获得电泳级纯酶。纯化倍数为1.74 倍,回收率为70.30%,比酶活力为1 898.18 U/mg(表1)。经Endo H处理后,SDS-PAGE分析显示在50 kDa处出现单一条带,表明AnproA1发生了糖基化修饰(图4A)。蛋白质谱鉴定结果显示纯化后蛋白氨基酸与AnproA1的氨基酸序列匹配率高达74%(图4B),表明表达纯化后的蛋白为黑曲霉天冬蛋白酶。

打开网易新闻 查看精彩图片
打开网易新闻 查看精彩图片
打开网易新闻 查看精彩图片
打开网易新闻 查看精彩图片
打开网易新闻 查看精彩图片
打开网易新闻 查看精彩图片

本研究中,AnproA1的产酶水平(15 250.0 U/mL)显著高于其他在毕赤酵母菌中表达的天冬氨酸蛋白酶(图3A),例如黑曲霉(A. niger)来源的天冬氨酸蛋白酶Apa1(1 500.0 U/mL)、米黑根毛霉来源的天冬氨酸蛋白酶RmproA(3 480.4 U/mL)和棘孢木霉来源的天冬氨酸蛋白酶TaproA1(4 092.0 U/mL)。纯化后AnproA1对酪蛋白的比酶活力(1 898.2 U/mg)(表1)显著高于米黑根毛霉来源的RmproA(773.3 U/mg)、棘孢木霉来源的TaproA1(685.0 U/mg)以及商业天冬氨酸蛋白酶(猪胃蛋白酶)(128.3 U/mg)。

打开网易新闻 查看精彩图片

4

AnproA1的酶学性质分析

AnproA1的最适pH值为2.5(图5A),在pH 2.5~5.5范围内保持稳定(图5B)。该酶的最适温度为55 ℃(图5C),在50 ℃以下处理30 min仍保留80%以上的酶活力(图5D)。AnproA1在50、55、60 ℃条件下的半衰期分别为188、56、8 min(图5E)。

打开网易新闻 查看精彩图片
打开网易新闻 查看精彩图片
打开网易新闻 查看精彩图片
打开网易新闻 查看精彩图片
打开网易新闻 查看精彩图片
打开网易新闻 查看精彩图片

AnproA1的最适pH值为2.5,低于大多数天冬氨酸蛋白酶,如米黑根毛霉的RmproA(pH 5.5)、美极梅奇酵母菌(Metschnikowia pulcherrima)的MpAPr1(pH 4.5)、灰曲霉(A. glaucus)的PepA_MA0196(pH 4.0)和棘孢木霉的TaproA1(pH 3.0)。AnproA1在pH 2.0~5.5范围具有良好的稳定性,优于棘孢木霉来源的TaproA1(pH 3.0~6.0)和黑曲霉来源的Apa1(pH 2.0~5.0)。AnproA1的最适温度为55 ℃,高于大多数天冬氨酸蛋白酶,如棘孢木霉来源的TaproA1(50 ℃)、美极梅奇酵母菌来源的MpAPr1(40 ℃)和青霉菌(Penicillium sp.)XT7来源的PsAPA(30 ℃)。此外,AnproA1在50 ℃以下具有良好的热稳定性,优于棘孢木霉来源的TaproA1和青霉菌XT7来源的PsAPA。AnproA1表现出良好的pH值稳定性与温度稳定性,具备工业应用的基础条件,但实现工业规模化仍需对其发酵工艺进行系统优化,以进一步提高AnproA1表达水平,降低生产成本。

5

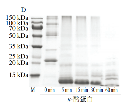
AnproA1的底物特异性、酪蛋白水解特性及切割模式分析

AnproA1表现出广泛的底物特异性,对酪蛋白有最高比酶活力,其次为血红蛋白(64.3%)、牛血清白蛋白(52.1%)、肌红蛋白(49.8%)、脱脂奶粉(34.0%)、人血清白蛋白(31.7%)、大豆分离蛋白(21.3%)、卵清蛋白(15.3%)、乳清蛋白(13.8%)、β-乳球蛋白(6.2%)、明胶(2.0%)和偶氮酪蛋白(0.3%),但对鱼精蛋白和胶原蛋白无活性(表2)。AnproA1能够不同程度地水解酪蛋白的3 种组分(α-酪蛋白、β-酪蛋白和κ-酪蛋白),生成小分子肽段。如图6A所示,3 种酪蛋白的水解度随时间延长逐渐增加。在水解60 min时,κ-酪蛋白表现最高水解度(9.66%),其次为α-酪蛋白(9.15%)和β-酪蛋白(3.38%)。如图6B所示,α-酪蛋白被水解成约为25 kDa的低分子质量蛋白,并随着水解时间延长进一步水解为小分子肽段。如图6C所示,β-酪蛋白被水解成约为17 kDa的低分子质量蛋白。如图6D所示,κ-酪蛋白被水解成约为10 kDa的低分子质量蛋白,在60 min时完全水解为分子质量更小的肽段。如图6E所示,AnproA1在氧化胰岛素B链的切割位点包括Q4-H5、C7-G8、G8-S9、H10-L11、L11-V12、E13-A14、A14-L15、L15-Y16、Y16-L17、L17-V18、G20-E21、G23-F24和F24-F25肽键。

打开网易新闻 查看精彩图片
打开网易新闻 查看精彩图片
打开网易新闻 查看精彩图片
打开网易新闻 查看精彩图片
打开网易新闻 查看精彩图片
打开网易新闻 查看精彩图片

AnproA1对酪蛋白表现出最高比酶活力,但对胶原蛋白无酶活力,这与天冬氨酸蛋白酶RmproB、PsAPA和RmproA的特性相一致。同时,AnproA1对血红蛋白(64.3%)和肌红蛋白(49.8%)表现出优异的水解活性(表2),表明其在血液蛋白的生物转化方面具有巨大的应用潜力。天冬氨酸蛋白酶通常优先水解底物中疏水性氨基酸或者芳香族氨基酸之间的肽键,如Leu-Tyr、Phe-Phe和Phe-Tyr。AnproA1表现出对κ-酪蛋白的高水解活性(图6A),这可能是由于κ-酪蛋白中存在较多易于被AnproA1识别的切割位点,如芳香族(Phe、Tyr)或疏水性残基(Leu、Ile)。所有天冬氨酸蛋白酶均能够切割氧化胰岛素B链中的L15-Y16、Y16-L17和F24-F25肽键;与其他天冬氨酸蛋白酶相比,AnproA1具有独特的G8-S9肽键切割位点(图6E)。此外,该酶具有比天冬氨酸蛋白酶RmproA更多的肽键切割位点,这可能使AnproA1能够水解更多的蛋白质底物,例如乳清蛋白和β-乳球蛋白。尽管AnproA1对多种蛋白底物均具有水解活性,其底物专一性是否能满足特定工业场景(如特定蛋白来源或反应条件)的需求仍需进一步验证。

打开网易新闻 查看精彩图片

6

AnproA1水解鸭血蛋白及其ACE抑制活性分析

打开网易新闻 查看精彩图片

如表3所示,在水解3 h时,血红蛋白水解产物表现出最高的ACE抑制活性(47.8%),在水解9 h时其水解度达到了最大值,为45.2%。蛋白回收率在整个水解过程中没有明显变化。随着水解时间的延长,血浆蛋白水解物的ACE抑制活性、水解度和蛋白回收率均逐渐增加,并在水解9 h时分别达到最大值(98.1%、34.6%和48.0%)。血红蛋白和血浆蛋白水解物的ACE抑制活性IC50分别为0.084 mg/mL和0.042 mg/mL。如图7所示,在模拟胃肠消化前后血红蛋白水解产物的ACE抑制活性无显著变化(P>0.05);而血浆蛋白水解物ACE抑制活性在消化后显著增强(P<0.05)。结果表明,天冬氨酸蛋白酶AnproA1水解鸭血蛋白产生的ACE抑制活性肽可以维持或增加其在整个胃肠道消化环境中的活性。由表4可知,未水解血红蛋白的分子质量主要集中在10 kDa以上(75.8%),酶解后分子质量<1 kDa、1~5 kDa、5~10 kDa和>10 kDa的肽段占比分别为58.7%、34.5%、6.0%和0.8%。未水解血浆蛋白的分子质量同样主要集中在10 kDa以上(73.2%),酶解后分子质量<1 kDa、1~5 kDa、5~10 kDa和>10 kDa的肽段占比分别为73.9%、18.1%、1.6%和6.4%。

打开网易新闻 查看精彩图片
打开网易新闻 查看精彩图片

目前已有许多合成ACE抑制剂,如卡托普利、依那普利、雷米普利和赖诺普利,被广泛用于治疗高血压。然而,长期使用这些药物会对人体产生不良影响。相比之下,通过酶促水解蛋白质制备的抗高血压肽具有安全、易吸收的特性,可成为一种治疗高血压的有前景替代物。在本研究中,AnproA1将鸭血蛋白(血红和血浆)生物转化为有价值的抗高血压肽,显著提高了其利用价值。与血红蛋白相比,血浆蛋白水解物表现出更低的ACE抑制活性IC50,表明血浆蛋白更适合作为底物制备ACE抑制活性肽。同时,AnproA1水解血红蛋白产生的水解物其ACE抑制活性的IC50为0.084 mg/mL,显著低于由RmproB产生的水解物(IC50为0.195 mg/mL)。胃蛋白酶作为一种常见的商业化天冬氨酸蛋白酶,被用于水解血液蛋白制备抗高血压肽。然而,胃蛋白酶水解猪血红蛋白和牛血浆蛋白产生的水解物表现出ACE抑制活性的IC50分别为1.53 mg/mL和17.19 mg/mL,远高于AnproA1水解鸭血蛋白产生的水解物。因此,AnproA1是一种高效的蛋白酶,能够将鸭血蛋白转化为高活性的ACE抑制活性肽,展现出广阔的应用前景。

7

结 论

本研究采用多种策略,实现了黑曲霉来源的新型天冬氨酸蛋白酶AnproA1在毕赤酵母菌中高效分泌表达,经高密度发酵后产酶水平达15 250.0 U/mL。该酶表现出广泛的底物特异性,对酪蛋白有最高比酶活力(1 898.18 U/mg)。利用AnproA1水解的鸭血红蛋白和血浆蛋白水解物其ACE抑制活性的IC50分别为0.084 mg/mL和0.042 mg/mL。该酶的高水平生产和优良的酶学特性为生物活性肽的酶法制备提供了更多选择。

引文格式:

薛意斌, 曾龙达, 闫巧娟, 等. 黑曲霉新型天冬氨酸蛋白酶的高效表达、性质及应用[J]. 食品科学, 2025, 46(20): 100-110. DOI:10.7506/spkx1002-6630-20250502-001.

XUE Yibin, ZENG Longda, YAN Qiaojuan, et al. High-level expression, characterization and application of a novel aspartic protease from Aspergillus niger[J]. Food Science, 2025, 46(20): 100-110. (in Chinese with English abstract) DOI:10.7506/spkx1002-6630-20250502-001.

实习编辑:李雄;责任编辑:张睿梅。点击下方阅读原文即可查看全文。图片来源于文章原文及摄图网