病例221-Kimura病

又称木村病,以血管淋巴组织增生伴有嗜酸性粒细胞增多为特征。

临床:
1.常流行于亚洲国家;

2.以年轻男性多见;
3.常累及头颈部区域的皮下组织和淋巴结;

4.外周血嗜酸性粒细胞及IgE升高。

大体:
1.头颈部皮下结节,直径为1cm左右;
2.常多发,互不连接。

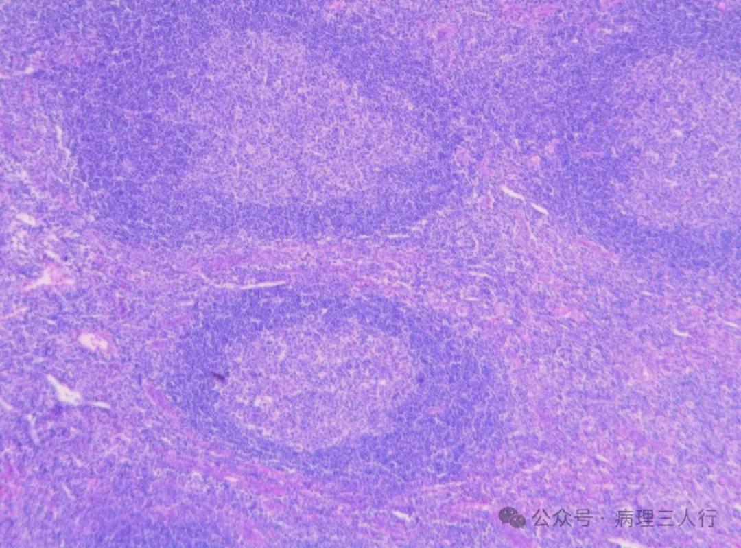
镜下:
1.不同程度的滤泡增生及生发中心形成;
2.皮质旁和滤泡内明显的嗜酸性粒细胞浸润,并可形成嗜酸性微脓肿;

3.滤泡生发中心内见嗜酸性物质沉积;
4.可见薄壁小血管增生。

打开网易新闻 查看精彩图片
打开网易新闻 查看精彩图片
打开网易新闻 查看精彩图片
打开网易新闻 查看精彩图片
打开网易新闻 查看精彩图片
打开网易新闻 查看精彩图片
打开网易新闻 查看精彩图片
打开网易新闻 查看精彩图片
打开网易新闻 查看精彩图片

病例222-藏毛窦

临床:

1. 可分为急性、慢性和复发性;

2. 典型的临床表现是骶尾部内藏毛发的慢性窦道或囊肿;

3.部分患者骶尾部胀痛,无继发感染者常无明显症状 , 携带感染的患者多为需氧菌和厌氧菌的混合感染,以革兰阴性菌为主;

4.也可表现为骶尾部急性脓肿,穿破后形成慢性窦道,窦道的走行方向多向头颅侧,很少向下朝向肛管,窦口多在脊柱下部或臀沟,挤压时可排出稀淡臭液体;

5.内藏毛发是其特征;

6. 先天性学说认为在胚胎神经管闭合过程中,背部的神经外胚层与皮肤外胚层的分开不完全,导致藏毛窦形成,多于婴幼儿时期发病,可发生于脊柱全段背侧中位线部位,以骶尾部多见;

7.后天获得性学说认为藏毛窦是由于臀部反复地扭动摩擦,导致体毛逐渐刺入皮肤,形成一个负压状态的短管道,当毛发脱落即被吸入短管道,聚集于皮下脂肪层内形成“异物”,一旦有细菌感染,即形成慢性感染或脓肿;

8.其危险因素包括长期久坐、肥胖、个人卫生状况较差、局部刺激及外伤等;

9.多发生在青春期毛发旺盛的肥胖男性;

10.良性病变,手术切除预后良好。

镜下:

1.可见皮肤全层组织;

2.表皮为复层鳞状上皮,部分表皮增生、上皮脚延长;

3.真皮及皮下脂肪组织可见大量急、慢性炎细胞浸润,局灶微脓肿形成,泡沫状组织细胞及异物巨细胞反应,炎性肉芽组织增生伴窦道形成;

4.窦道周围可有毛干碎段、角化物或鳞状上皮残留,局灶瘢痕组织形成并包绕着真皮组织。

打开网易新闻 查看精彩图片
打开网易新闻 查看精彩图片
打开网易新闻 查看精彩图片
打开网易新闻 查看精彩图片
打开网易新闻 查看精彩图片

参考文献:

孔令红,刘晓刚,王丽宁,等.藏毛窦囊肿18例临床病理分析[J].诊断病理学杂志,2021,28(05):332-336.

病例223-上皮样血管内皮瘤

上皮样血管内皮瘤是上皮样内皮细胞组成的恶性血管中心性肿瘤。

临床:
1.常见于 30-50 岁,儿童少见;
2.女性略多见;

3.可发生于软组织,表现为孤立性肿块;可发生于实质脏器(如肝、肺、骨),常多灶性,部分可多脏器发生;

4.30-50%起自血管或与血管关系密切。

大体:
1.边界清楚的结节肿块,质地坚实;

2.切面灰白灰褐。

镜下:
1.肿瘤细胞呈圆形、卵圆形及多边形;

2.细胞核空泡状,核仁不明显;

3.胞质丰富、淡染、嗜酸性,常有胞质内空泡或管腔,管腔内偶见碎片状红细胞;

4.排列呈条索状、束状、梁状和实性簇状;

5.间质为黏液软骨样或玻璃样变性,偶见钙化或骨化;

6.YAP1-TFE3 融合的肿瘤通常具有丰富的嗜酸性胞质,更明显的血管形成。

免疫组化:

1.CD31、CD34、ERG和Fli1阳性 ;
2.WWTR1-CAMTA1 融合的肿瘤 CAMTA1 阳性;

3.YAP1-TFE3 融合的肿瘤 TFE3 阳性;

4.部分表达CK、EMA。

分子特征:

1.90%WWTR1-CAMTA1 融合 ;
2.5%YAP1-TFE3 融合 。

打开网易新闻 查看精彩图片
打开网易新闻 查看精彩图片
打开网易新闻 查看精彩图片
打开网易新闻 查看精彩图片

下面发生于骨组织:

打开网易新闻 查看精彩图片
打开网易新闻 查看精彩图片
打开网易新闻 查看精彩图片
打开网易新闻 查看精彩图片
打开网易新闻 查看精彩图片
打开网易新闻 查看精彩图片

病例224-骨化性肌炎

骨化性肌炎是一种常发生在骨旁软组织的孤立性、非进行性、良性骨化性病变,又称为局限性骨化性肌炎或局限性异位骨化。

类似病变如位于指、趾的软组织时,称为指趾纤维骨性假瘤;而位于筋膜内,则称为骨化性筋膜炎。

临床特点:

1.患者大多为年轻人;

2.约半数有外伤史,最常见部位是四肢近端的肌肉内;

3.临床表现为受伤部位局部疼痛和肿胀,数周后出现肌肉内肿块;

4.影像学上,早期病变仅显示骨旁软组织内模糊的低密度阴影;1~2周后,病变周围密度增高;之后,逐渐形成与周围软组织分界清楚的高度阴影,而中央区密度仍较低,即所谓的“分带现象”;

5.预后:病变良性经过,有自愈倾向。有的病例可自发性消退或完全骨化。

大体:

1.病变境界清楚;

2.最大直径为2~5cm;

3.黏附于周围的肌肉;

4.切面见病变中央柔软,棕褐色,周边钙化或骨化。

镜下:

1.病变中央为增生活跃的不成熟成纤维细胞;

2.可有较多核分裂象;

3.稍离开中央区可见到富于细胞、排列无序的骨样组织,靠近病变边缘,骨样组织成熟为编织骨和板层骨。

鉴别诊断:

(1)骨旁骨肉瘤:影像学上骨旁骨肉瘤附着于其下骨皮质,基部密度高,表面密度低,无“分带现象”;镜下,骨旁骨肉瘤的骨小梁虽然较成熟,但无延续的骨母细胞覆盖,肿瘤边缘的梭形细胞较不成熟,浸润周围肌肉组织。
(2)进行性骨化性纤维结构不良:是一种在骨外的肌肉、肌腱和韧带进行性纤维化、钙化和骨化,最终导致严重功能障碍的罕见疾病。常起自10岁前儿童,无或轻微外伤史,骨发育异常(双侧手足的指趾对称性短缩畸形);全身各处软组织不断进行性骨化,形成成熟的板层骨;患者可因重要器官严重功能障碍导致呼吸困难或颌骨固定不能进食而致死。

打开网易新闻 查看精彩图片
打开网易新闻 查看精彩图片
打开网易新闻 查看精彩图片
打开网易新闻 查看精彩图片
打开网易新闻 查看精彩图片
打开网易新闻 查看精彩图片

病例225-乳腺腺肌上皮瘤

腺肌上皮瘤是一种良性乳腺肿瘤,由肌上皮和腺上皮两种细胞双相性增生形成。

临床:

  1. 绝经后妇女多见;

  2. 多发生于乳腺外周部;

  3. 单发、界限清楚无痛性肿块。

大体:

  1. 界限清楚,质硬,呈分叶状或结节状;

  2. 平均大小2.5cm;

  3. 可见小的囊腔。

镜下:

  1. 病变为多结节、分叶状;

  2. 管腔呈圆形或卵圆形,内衬腺上皮,周围见明显增生的肌上皮;

  3. 管腔内衬腺上皮呈立方-低柱状,胞质深染,可见小核仁;

  4. 管腔周围肌上皮呈梭形或多边形,胞质透亮、嗜酸性或成肌样细胞;

  5. 间质可黏液样变及胶原化玻璃样变等;

  6. 可分为梭形细胞型、管状型和小叶型。

免疫组化:

SMA、calponin、p63和CD10肌上皮阳性 。

打开网易新闻 查看精彩图片
打开网易新闻 查看精彩图片
打开网易新闻 查看精彩图片
打开网易新闻 查看精彩图片
打开网易新闻 查看精彩图片
打开网易新闻 查看精彩图片
打开网易新闻 查看精彩图片

病例226-痛风

痛风是一种嘌呤代谢障碍、血清尿酸过多、尿酸盐结晶沉积在关节和脏器而引起的疾病。

痛风可原发于先天性嘌呤代谢紊乱或继发于其他疾病(如肿瘤、慢性肾病和某些药物)。

临床:

1.原发性痛风多见于40岁以上的中老年人;

2.男性占95%;

3.痛风有家族发病的倾向,由于嘌呤代谢中某一种酶缺陷,血液中尿酸增高,当尿酸超过饱和浓度,尿酸盐与血浆蛋白结合减少,形成尿酸钠微小结晶,沉淀于关节和脏器,尤其是肾脏,导致关节炎、肾结石和痛风性肾病;

4.关节炎常突然发病,最初发作时,绝大多数侵犯单个关节,尤其是第一跖趾关节,其他关节依次为足弓、踝、足跟、膝、腕、指和肘等;

5.表现为受累关节午夜突然剧痛,伴关节红、肿、热和活动受限;

6.初次发作常呈自限性,约1周可自然缓解;

7.之后可反复发作,尿酸盐沉积在关节软骨、滑膜液、肌腱和软组织等处,形成痛风石,关节畸形和活动受限;

8.实验室检查显示血尿酸增高,关节液内找到尿酸盐结晶;

9.影像学关节软骨下骨穿凿样破坏,局部骨质疏松、腐蚀或皮质断裂,关节间隙狭窄和边缘性骨质增生,有时可见到痛风结石产生的钙化影。

镜下:

1.急性期滑膜充血,呈绒毛状增生,滑膜细胞肥大和增生,滑膜下层见大量中性粒细胞、少量巨噬细胞和淋巴细胞浸润;

2.疾病持续存在,滑膜纤维化,继发于反复炎症而呈现退行性关节病改变;

3.由于尿酸钠溶解于水,常规HE切片无法观察到尿酸钠结晶,100%酒精固定组织在偏光镜下可见到负性强双折光针状尿酸钠结晶;

4.如果病变组织内有微小的痛风石形成,则可有特征性肉芽肿样表现,即痛风结节:中央为无定形、无细胞的淡嗜伊红物质,周围绕以一层巨噬细胞、多核巨细胞、散在淋巴细胞和成纤维细胞。

鉴别诊断:

需与假痛风(焦磷酸钙沉积病,CPPD)鉴别,这是一种由 CPP 结晶沉积在软骨和关节软组织的细胞外基质而引起的退行性关节病。临床表现与痛风相似,好发于老年人,但无性别差异;镜下未脱钙 HE 染色切片中能见到 CPP结品呈嗜碱性或灰棕色,位于软骨中。

打开网易新闻 查看精彩图片
打开网易新闻 查看精彩图片
打开网易新闻 查看精彩图片
打开网易新闻 查看精彩图片
打开网易新闻 查看精彩图片
打开网易新闻 查看精彩图片
打开网易新闻 查看精彩图片
打开网易新闻 查看精彩图片

病例 227-乳腺纤维瘤病样化生性癌

纤维瘤病样化生性癌是一种低级别梭形细胞化生性癌,以温和的梭形细胞为特点,形态与纤维瘤病非常类似。

临床:
1.绝大多数发生于老年妇女;
2.实性、质硬、活动差的肿块。

镜下:

  1. >95% 肿瘤组织由温和的梭形细胞组成,与周围组织界限不清;

  2. 梭形细胞呈波浪状、交错束状,呈指突状延伸浸润乳腺组织;

  3. 梭形细胞胞质淡嗜酸性,细胞核长梭形,无明显异型性;

  4. 梭形细胞染色质细小而弥漫分布,核分裂罕见;

  5. 间质不同程度的胶原化;

  6. 局部常见有短梭形上皮样细胞丛状聚集。

免疫组化:

1.CK、CK5/6、Vimentin、p63、SMA 阳性 ;
2.Ki-67 指数低;
3.ER、PR、Her-2 通常阴性 。

打开网易新闻 查看精彩图片
打开网易新闻 查看精彩图片
打开网易新闻 查看精彩图片
打开网易新闻 查看精彩图片
打开网易新闻 查看精彩图片
打开网易新闻 查看精彩图片
打开网易新闻 查看精彩图片

病例228-滑膜肉瘤

滑膜肉瘤(SS)是一种显示不同程度上皮样分化的恶性间叶性肿瘤。

临床:

1.多发生于15~40岁的青少年;

2.10岁以下和50岁以上均较少见;

3.男性略多见;

4.主要发生于肢体、特别是关节附近,尤其是膝部和腘窝,其次为髋部和肘部,也可位于手、足、小腿和前臂;

5.部分病例可发生于头颈部,特别是咽旁,偶可位于口腔和扁桃体;

6.少数病例可发生于躯干;

7.偶可位于胸膜、肺、纵隔、心包、腹腔和肾脏等处;

8.极少数病例发生于生殖系统、中枢神经系统、骨和神经内;

9.临床上多表现为深部软组织内缓慢性生长的肿块,半数病例可伴有疼痛;

10.起病时生长可较缓慢,部分病例就医前生长迅速,并可呈浸润性或破坏性生长;

11.术前病程为2~20年;

12.约1/3病例可伴有程度不等的钙化,明显时平片可清晰显示;

13.部分病例可被误诊为良性病变,如病变较小、有血肿形成或有明显的囊性变时;

14.遗传学:90%以上病例具有比(X:18)(p11;q11),形成SS18-SSX融合基因。可通过FISH或RT-PCR检测。其他异常包括t(X:20)(p11:g13)等;

15.预后:SS为高度恶性肿瘤,切除不净易复发。转移率为50%,常转移至肺、其次为骨,可发生在多年之后。5年存活率为50%以上,近年经新的化疗后,5年存活率有提高。预后不佳因素包括:年龄>40岁、肿瘤直径>5cm、差分化区域>20%和临床分期高。儿童患者、肿瘤<5cm(特别是<1cm)者预后相对较好。

大体:

1.周界相对清楚,结节状;

2.肿瘤直径多为3~10cm,可<1cm或>15cm;

3.切面灰白色、灰红色或淡黄色,肉状或质韧,可伴有出血、坏死、性变和钙化等。

镜下:

(1)梭形细胞型:也称单相纤维型。

主要由致密交织条束状、片状或漩涡状排列的梭形细胞组成;

瘤细胞形态相对一致;

核分裂象多少不等;

间质内胶原化程度不一,常不明显,部分病例也可见绳索样胶原纤维;

间质可伴有黏液样变性;

约30%的病例还可伴有钙化或骨化生,钙化明显时可掩盖瘤细胞;

肿瘤内血管可较丰富,可呈鹿角状,形成血管外皮瘤样结构;

部分病例内可见肥大细胞;

肿瘤内坏死不常见。

(2)双相型:由比例不等的上皮样成分和梭形细胞成分混合组成。

上皮样成分可从不易察觉的小巢团状到非常明显的腺管样、梁状和巢状;

部分病例内还可有囊腔样结构,并可有乳头形成,囊腔和乳头表面衬覆上皮样细胞;

上皮样细胞的胞质偶可呈透亮状,少数病例呈鳞状分化;

梭形细胞成分多较明显,与上皮样细胞之间可有移行;

少数病例以腺管结构为主,但仔细观察仍可见少量梭形细胞成分。

(3)差分化型:可出现于梭形细胞型SS和双相型SS中。

可呈局灶性或为弥漫性;

以瘤细胞核级高和核分裂象易见为特征;

形态上可呈梭形细胞型(可呈鱼骨样排列,类似纤维肉瘤)、小圆细胞型(可呈片状分布,类似尤因肉瘤)和横纹肌样型(类似恶性横纹肌样瘤);

肿瘤内坏死常见;

此型SS多需经分子病理证实。

免疫组化:

阳性:AEI/AE3、EMA、bcl-2、CD99、calponin、TE1、S-100、caretinin、CD117和DOG1;

阴性:α-SMA、CD34 和TTF1。

打开网易新闻 查看精彩图片
打开网易新闻 查看精彩图片
打开网易新闻 查看精彩图片
打开网易新闻 查看精彩图片
打开网易新闻 查看精彩图片
打开网易新闻 查看精彩图片

病例229-支气管源性囊肿

支气管源性囊肿是一种支气管在发育过程中发生的障碍。

临床:

  1. 常发生于隆突下或中纵隔,亦可发生于肺内;

  2. 发生于婴幼儿、儿童和年轻人;

  3. 年轻患者主要为囊肿压迫症状,年老患者常可继发感染,部分患者无症状。

大体:

  1. 不规则囊性肿块,壁薄,球形,常呈单房;

  2. 内含清亮液体,继发感染可含浑浊、黏液性或出血性液体。

镜下:

  1. 囊肿壁被覆纤毛柱状上皮或假复层柱状上皮,可局灶或广泛鳞化;

  2. 囊壁为纤维结缔组织,可有支气管腺、透明软骨和平滑肌束等。

打开网易新闻 查看精彩图片
打开网易新闻 查看精彩图片
打开网易新闻 查看精彩图片
打开网易新闻 查看精彩图片
打开网易新闻 查看精彩图片
打开网易新闻 查看精彩图片
打开网易新闻 查看精彩图片

病例230-腺泡状软组织肉瘤

腺泡状软组织肉瘤(ASPS)是一种由大圆形或多边形嗜伊红色细胞(部分细胞可透亮状)组成、以腺泡状或巢状排列为特点、并富含血窦样血管网的恶性间叶性肿瘤。

临床:

1.ASPS 占软组织肉瘤的0.9%;

2.多发生于15~35岁的青少年和青年人,5岁以下和50岁以上均较少见,30岁以下者女性多见,,30岁以后男性略多见;

3.女: 男为2:1;

4.在成年人,肿瘤多发生于大腿和臀部深部软组织;

5.在儿童,多位于头颈部,特别是舌和眼眶;

6.其他部位包括乳腺、子宫、肺、胃、骨、心和膀胱等处偶可发生;

7.临床上常表现为软组织深部缓慢性生长的肿块,约半数就诊时伴有肺转移。

大体:

1.结节状或分叶状,周界清楚或不清;

2.直径为3~10cm,位于头颈部者较小,为1~3cm;

3.切面呈灰红色,质软,

可伴有出血、坏死及囊性变。

镜下;

1.分叶状或结节状分布,其间为纤维性间隔;

2.小叶或结节由腺泡状排列的大圆形或多边形细胞组成;

3.腺泡之间为丰富的血窦样血管网,血管网可通过网状纤维染色或CD34标记清晰显示;

4.发生于儿童的病例腺泡较小,瘤细胞常呈实性的巢状排列或片状分布,但CD34 标记仍可显示丰富的血管网;

5.瘤细胞胞质丰富,嗜伊红色,部分病例可呈透亮状,胞质内有时可见棒状结晶,PAS 染色阳性;

6.胞核呈圆形或椭圆形,深染,核仁明显,核分裂少见,坏死也少见;

7.少数病例瘤细胞可显示有明显的异型性,核分裂象易见,且可见坏死,肿瘤周边的血管内有时可见瘤栓形成。

免疫组化:

瘤细胞表达 TFE3、MyoD1、desmin,不表达 HMB45、Melan-A、AE1/AF3 和S-100 。

鉴别诊断:

①副神经节瘤:主细胞表达 Syn、CgA、NSE 和 CD56,支持细胞表达S-100 ;

② PEComa:瘤细胞表达 HMB45 和 Melan-A 等标记,可表达TFE3,但不表达 MyoD1;

③转移性肾细胞癌:瘤细胞表达 AE1/AE3 和PAX2等。

预后:

临床上可呈隐匿性,但总的预后不佳。

完整切除后局部复发率并不高,但 ASPS 易发生肺转移,可发生于发现原发灶之前,也可发生在多年之后。

肿瘤无转移、儿童患者预后相对较好。

打开网易新闻 查看精彩图片
打开网易新闻 查看精彩图片
打开网易新闻 查看精彩图片
打开网易新闻 查看精彩图片
打开网易新闻 查看精彩图片
打开网易新闻 查看精彩图片